Nga Flori Bruqi
Sistemi riprodhues femëror përbëhet nga organet seksuale parësore dhe organet seksuale dytësore. Organet seksuale parësore janë dy vezoret. Organet e tjera janë dy oviduktet apo tubat e Falopit që gjenden një në të majtë dhe një në të djathtë të mitrës, dhe lidhin këtët të fundit me vezoret. Tubat e Falopit përfaqësojnë zgjatime të mitrës. Janë të ndërtuar nga shtresa muskuli të lëmuar dhe epiteli me qerpikë, që lejon lëvizjet peristaltike të nevojshme për avancimin e oocitëve dhe të qelizës (qelizave) spermatike. Tubat e Falopit janë edhe vendet e pllenimit.

Mitra është një organ zgavror me formë dardhe me përmasa rreth 7.5 cm gjatësi dhe 5 cm gjerësi. Mitra përfshin një shtresë muskulore të lëmuar, të jashtme – miometrin – dhe një shtresë mukoze të specializuar, të brendshme – endometrin. Funksioni kryesor i mitrës është që të sigurojë fiksimin dhe rritjen e qelizës vezë zë pllenuar dhe ushqyerjen dhe zhvillimin e embrionit. Përfaqëson edhe një rrugëkalimi të spermatozoidëve që tentojnë të arrijnë vezën që duhet pllenuar. Mirta vazhdon me qefën e mitrës, që më tej vazhdon me vaginën. Vagina është një tub muskulor, rreth 7.5 cm i gjatë. Vagina është e veshur (së brendshmi) me lëkurë të modifikuar, që është një epitel luspor (luspak) që shfaq ndryshime ciklike. Shtrihet nga qafa e mitërs e deri jashtë trupit. Është organi që pret penisin; shërben edhe si kanal i lindjes. Organet gjenitale të femrës njihen si vulva; përfshihen klitorin që përputhet me penisin tek mashkulli, dhe përbëhet kryesisht nga ind ngrehës (tendosës, erektues). Buzët (labia) ndahen në buzët e mëdha dhe buzët e vogla. Vulva përfshin edhe daljen jashtë trupit të uretrës femërore. Gjendrat e gjoksit i përkasin organeve seksuale femërore dytësore. Janë të ndërtuara nga dukte dhe shakuj të rrethuar nga ind fibroz dhe lyror. Funksioni i tyre është që të prodhojnë qumësht pas lindjes për ushqyerjen e bebes.
Dy vezoret gjenden, pezull, në zgavrën pelvike, me anë ligamentesh. Vezoret përbëhen nga oocitë në faza të ndryshme zhvillimi. Çdo oocit rrethohet nga qeliza të specializuara që prodhojnë hormone. Kjo strukturë njihet si folikuli ovarian dhe përfaqëson strukturën bazë të vezoreve. Funksion kryesor i vezoreve është të prodhojnë oocitë, nga të cilët do të zhvillohen qelizat vezë. Vezoret kanë edhe një funksion endokrin: ato prodhojnë hormone si estrogjeni dhe progesteroni.
Menstruacioni i parë (menarha) zakonisht paraqitet në moshën prej 12 deri 13 vjeç. Hulumtimet më të reja, megjithatë, tregojnë se, sot, femrat më herët hyjnë në pubertet. Pesha e madhe është faktor i rrezikut për shfaqjen e pubertetit të hershëm.
Gjatë vitit të parë deri në dy vite mundet me qenë e ndryshueshme dhe jo e rregullt. Pas kësaj kohe cikli fillon të stabilizohet dhe të zgjas diku rreth 28 ditë. Megjithatë, cikli normal mund të zgjas edhe 20 deri 40 ditë. Mosha është faktor i rëndësishëm për ndryshimet e ciklit. Përafërsisht cikli zgjatë 33 ditë tek fermat më të reja se 21 vjet dhe, 26 ditë tek 40-vjeçaret. Cikli zgjatet në moshën 46 vjeçare dhe mbërrin përafërsisht 31 ditë në moshën 49 vjeçare. Femrat që konsumojnë alkool rregullisht i kanë ciklet më të shkurta, ndërsa femrat me peshë më të vogël dhe ato që merren me sport, më të gjata.
Gjakderdhja te femrat e moshës së re përafërsisht zgjatë 6-7 ditë. Pas moshës 21 vjeçare gjakderdhja zgjatë 5-6 ditë deri në menopauzë. Megjithatë, vlen të përmendet se rreth 5% e femrave të shëndosha kanë gjakderdhje më të shkurtë se 4 ditë, dhe 5% më gjatë se 8 ditë. Femrat me peshë më të vogël sidomos ato që konsumojnë duhanin gjakderdhin më shumë, ndërsa ato që merren me sport, më pak. Femrat që përdorin spiralen (mjet kontraceptiv) zakonisht kanë gjakderdhje më të gjatë.
Ndërprerja e menstruacioneve
Menstruacionet, natyrisht, ndërpriten gjatë kohës së shtatzënisë. Disa femra vazhdojnë të kenë gjakderdhje jo të rregullta gjatë tremujorit të parë të shtatzënisë. Gjakderdhjet e tilla mund të jenë kërcënim i dështimit (abortit), prandaj duhet patjetër t’i drejtohen mjekut. Gjatë kohës së gjidhënies femra rrallë mund të ketë ovulim 8 javë pas lindjes. Pas këtij intervali menstruacionet zakonisht rikthehen dhe femra prapë është fertile (mund të mbetet shtatzënë). Menopauza është ndërprerja e menstruacioneve e cila zakonisht shfaqet diku rreth moshës 51 vjeçare, ndërsa tek femrat që konsumojnë duhanin edhe më herët.
Amenorreja është mungesa e menstruacioneve. Dallojmë amenorrenë primare, atëherë kur fare nuk është paraqitur, dhe sekondare, kur menstruacionet në fillim kanë qenë të rregullta por më vonë janë çrregulluar apo kanë munguar fare. Amenorreja konsiderohet atëherë kur menstruacionet nuk paraqiten së paku 3 cikle. Femrën te e cila menstruacionet nuk janë paraqitur deri në moshën 16 vjeçare duhet dërguar te mjeku si dyshim në amenorrenë primare. Ciklet e rralla dhe jo të rregullta (oligomenorreja) janë mjaft të shpeshta në pubertetin e hershëm dhe nuk janë për tu shqetësuar. Po ashtu, gjakderdhja është e ndryshme, dikush gjakderdh më pak e dikush më shumë. Ndonjëherë gjakderdhja mund të mungojë fare, ndërsa në muajin e ardhshëm të jetë më e madhe, që me siguri është pasojë e mungesës së ovulimit në ciklin paraprak. Brengosëse është nëse ciklet zgjasin më pak se 21 ditë, dhe gjakderdhjet më gjatë se 8-10 ditë ose, ciklet dukshëm ndryshojnë gjatë disa muajve. Këto raste tregojnë një problem me ovulimin.
Shkaktarët e amenorresë (mungesa e menstruacioneve). Te adoleshentet nevojitet një kohë që ovulacioni të stabilizohet, e ndonjëherë gjakderdhjet edhe ndalen për disa muaj. Çdo herë që menstruacionet mungojnë, duhet vërtetuar a bëhet fjalë për shtatzëni apo jo, edhe pse secila situatë me stres, madje edhe brenga për shtatzëni, mund të ndikoj në mungesën e gjakderdhjes..
Sindromi i vezoreve policistike. Ky sindrom paraqitet të 6% e femrave dhe është rezultat i asaj që vezoret formojnë sasi të mëdha të androgjenëve (hormoneve mashkullore) sidomos testosteronit. Formimi i rritur i androgjenëve sjellë deri te koncentrimi i lartë i HL (hormonit luteinizues) dhe koncentrim të zvogluar HFS (hormonit folikulostimulues), prandaj folikulet nuk mund të prodhojnë vezë të pjekur. Kur folikulet nuk mund të prodhojnë veze, ato fryhen me lëng dhe shndërrohen në ciste.
Shkaktarët e tjerë. Terapia e karcinomës mund t’i shkatërrojë folikulet dhe çrregullon funksionin e vezoreve. Sindromi Turner është çrregullim i rrallë gjenetik te i cili mungon kromozomi x, prandaj nuk zhvillohen vezoret funksionale. Problemet me gjëndrën tiroide, qoftë si pasojë e prodhimit të rritur (hipertiroidizmi) apo të zvogëluar (hipotiroidizmi) mund ta ndërprejnë ciklin. Sindroma Cushing (çrregullim i gjëndrës mbiveshkore), poashtu mund të shkaktojë amenorrenë.
Dismenorea është shprehje që paraqet dhimbjet shtrënguese gjatë kohës së ciklit menstrual. Kryesisht fjala është për dhimbjet në pjesën e poshtme të barkut dhe në kryqëza, duke filluar nga dhimbjet e lehta deri te dhembjet me intensitet më të madh, të cilave shpesh i bashkëngjitet dhimbja e kokës, vjellja dhe barkqitja.
Dallohet dismenorea primare te e cila shfaqet menstruacioni i parë dhe kryesisht ka karakter funksional nga dismenorea sekondare e cila shfaqet më vonë gjatë jetës dhe kryesisht është pasojë e ndonjë sëmundje tjetër në legen (pelvis), së shpeshti endometrioza. Shumë ekspert mendojnë që simptomat e dismenoresë janë shkak i shprehive kequshqyese dhe problemeve emocionale të përballueshme. Vlerësohet se afër 60% e grave vuajnë nga dhembjet mujore.
Në numrin më të madh të rasteve, kontraksionet e paraqitura janë të natyrës funksionale. Kjo nënkupton disa procese natyrore të cilat paralajmërohen kah fundi i ciklit menstrual në mitër, intensiteti i të cilit e tejkalohet rëndom. Për shkak të lodhjes së funksionit të trupit të verdhë dhe rënies fiziologjike të nivelit të hormoneve të trupit të verdhë nga fundi i ciklit menstrual, vjen deri te tkurrja e enëve të gjakut dhe iskemisë së mukozës së mitrës. Kjo është e përcjellë me lirimin e panumërt të sasisë së prostaglandineve të tipit alfa, bartësit kimik të porosive, të cilat shkaktojnë kontraksione të forta. Me fjalë te tjera kontrakcionet e mitrës paraqiten përmes vendeve ‘bashkëngjitëse’ në sipërfaqen e hollë të fijeve nervore vegjetative të cilat e mbështjellin dhe janë stimuluese në aspektin psikologjik dhe hormonal. Shkaktari tjetër i dhembjeve nënkupton sëmundjet organike, si shkaktar të paraqitjes së dhembjeve mujore. Shkaktarët më të shpeshtë organik janë endometrioza, polipi i mitrës, mioma, malformacionet e saja, disa rritje tumorale në pelvisin e vogël.
Simptoma fizike: dhimbje gjoksi, ndjesi fryrjeje, ënjtje të fytyrës, barkut dhe gishtërinjve, shtim në peshë, dhimbje koke, migrenë, ndryshime në oreks, akne dhe probleme të tjera me lëkurën, kapsllëk ose diarre, rigiditet muskulor ose të kockave, dhimbje të përgjithshme, sidomos në shpinë, dhimbje barku.
Simptoma psikologjike: luhatje të humorit dhe depresion, dëshirë për të qarë, lodhje, përgjumje, tension, irritim, vështirësi në përqendrim, ndryshime në dëshirat seksuale, shqetësime me gjumin, agresivitet, humbje e vetëkontrollit.
Arsyeja kryesore e dhimbjeve mund të jetë edhe mungesa e vitaminave, mineraleve dhe karbohidrateve, prandaj këshillohet që ushqimi te jetë sa më i përzgjedhur, këshillohet të përdoren këto ushqime:
– Përdorimi i sa më shumë karbohidrateve komplekse, gjenden kryesisht tek farërat e pasura me fibra si; thjerrëza, fasulja, fenugreek (hilba), mashurkat , turmus (Lupin), etj.
-Përdorimi i perimeve me gjethe jeshile si; spinaqi, sallatë jeshile, lakërishte (ëatercress), mëllagë, lakër, lule lakër. Këto perime është mirë që të konsumohen më shumë të paziera.
– Prodhimet e detit.
– Burimet e vitaminës E; vaji i ullirit, gruri, veza, patatja, lajthitë, etj.
Ushqimet që nuk duhen konsumuar gjatë mestruacioneve
– Rekomandohet mos konsumimi i pijeve dhe ushqimeve që përmbajnë kafeinë.
– Pakësimi i konsumimit të sheqerit të bardhë dhe ëmbëlsirat e shpejta.
– Pakësimi i kripës dhe ushqimet me shumë kripë në pergjithësi.
– Pakësimi i konsumimit të mishit të kuq.
– Majdanosi, selinoja, kokë lakra, sallata jeshile; këshillohet që të konsumohen një javë para menstruacioneve, sepse nxitin urinimin dhe pakëson mundësinë e fryrjes së këmbëve dhe fryrjen e gjoksit për arsye të bllokimit të ujrave në trup.
– Taraxacum ; kjo bimë ka vecori në pastrimin e ujrave të bllokuara në trup, gjethet e kësaj bime përdoren në sallatë ose si caj.
– Mendër, janball, kopër; gjethet e mendrës dhe farat e kopërit perzihen me ujin e zier të janballit dhe me pas pihet. Ky caj bimor lehtëson dhembjet.
– Sherebela; pihet çdo ditë 2-3 filxhanë caji, në mënyrë të favorshme ndikon në problemet femërore. Përmirëson tonusin e mitrës, ka efekt antikërpudhor, ndihmon tek rregullimi i menstruacioneve, vendos ekuilibrin hormonal dhe parandalon problemet e menopauzës.
Sherbela ndihmon edhe në punën e veshkave dhe parandalon formimin e edemave në to.
– Kamomili; kuron dhimbjet e barkut, pihet 1-2 filxhan çaji në ditë; mënyra e përgatitje: merret një lugë me kamomil dhe hidhet në një gotë me ujë të valuar më parë, lihet i mbuluar për 10 minuta dhe pihet 25-30 min para ose pas ngrënies, mund ta ëmbëltoni me mjalt.
– Vaji i farës së qimnonit; lyhet fundi i barkut dhe vagina.
– Çaji i mendrës qetësues i menstruacioneve, kundër vjelljes, dhembjes së stomakut, të mëlçisë, sëmundjeve të lëkurës, kundër tendosjeve psikike, streseve, kundër reumatizmit, kundër infeksioneve, etj.
– Lakërishtë (ëatercress) ndihmon në nxitjen e nxjerrjes së gjakut të keq, perzihet 2-3 lugë lakërishtë e zier me një gotë qumësht.
– Salepi; ruan mitrën nga hemorragjitë dhe e forcon atë. Mënyra e përdorimit është e njohur në vendin tonë; merren 1-2 lugë salep dhe përzihet me një gotë qumësht dhe më pas zihet në zjarr, ëmbëlsohet sipas dëshirës.
– Përzierja e disa çajrave bimorë, si; gjethet e bliut, mëllaga, lulet e zufës (Hyssop). Ky çaj duhet të pihet para menstruacioneve për rreth një javë.
* Çajrat është mirë të ëmbëltohen me mjalt, dhe të pihen 20- 30 min para ose pas ngrënies.
– Lulebalsami (Hypericum perforatum), çaji i kësaj bime është rregullues i ciklit mujor, anti stresues, qetësues, kuron infeksionin e fshikësës së urinës, etj.
– Fenugreek, rregulluese e ciklit mujor, pihet para gjumit.
– Rozmarina, çaji i rozmarinës përdoret si caj cdo ditë për qetësimin e dhimbjeve, forcon zemrën, pastrues,etj.
– Alchemilla Vulgaris, kjo bimë shëron shumë prej sëmundjeve të grave, përdoret si caj.
Për Sekrecionet Vaginale
– Kamomili: përdoret lëngu i përfituar nga lulet e kamomilit për shpëlarje vaginale, në rastet e sekrecioneve të bardha ose me erë të keqe. Një lugë e madhe nga lulet e kamomilit me një litër ujë të nxehtë por jo të vluar, lihet për 5-10 minuta, pastaj filtrohet dhe përdoret.
– Lëkura e Ahut: 4 lugë të mëdha nga lëkura e bluar e ahut, shtohet në 1 litër ujë dhe lihet të vlojë për 15 minuta, pastaj përdoret i nxehtë për shpëlarje vaginale.
– Gjethet e Arrës, një dorë nga gjethet e arrës shtohen në 1 litër ujë të vluar, lihet për 10 minuta pastaj përdoret për shpëlarje.
********************
Sëmundjet seksuale transmisive janë¬: HIV, vaginoza bakteriale, kandida, trihomona, herpesi gjenital, gonorea dhe sifilisi. Mënyra më e mirë e mbrojtjes nga sëmundjet transmisive seksuale është kondomi, çoftë për seks vaginal, oral apo anal.
Shpeshherë sekreti vaginal na tregon shumë. Femrat kanë një sasi të vogël të sekretit vaginal. Sekreti vaginal ndryshon nga sasia, konsistenca. Sasia e sekretit vaginal është më e shtuar në kohën e ovulacionit dhe disa ditë para menstruacioneve.
Gjithashtu sekreti mund te jetë shumë i shtuar te femrat të cilat marrin tableta kontraceptiv ose kanë të vendosur spiralen. Ndërsa zvogëlimi i dukshëm i sekretit vaginal paraqitet te femrat në menopauzë. Sekreti vaginal normal ka ngjyrë të bardhë, por bëhet i verdhë dhe me një erë shumë të lehtë kur ka kontakt me ajrin për arsye të intereakcionit kemikal të quajtur oksidimi.
Kur kemi të bëjmë me sëmundjet seksuale transmisive, sekreti vaginal ndryshon, bëhet më i trashë, ka erë dhe konsistenca ndryshon. Ka shumë produkte të ndryshme të cilat shiten për larje intime, por ato preparate nuk janë të nevojshme, sepse muri i vaginës është shumë i ndjeshëm dhe produkte të tilla shkaktojnë ndryshime dhe irritim.
Infeksionet më të shpeshta te cilat barten me marrëdhënie seksuale te femrat janë:
Vaginoza bakteriale është një ndër infeksionet më te shpeshta te femrat, infeksion i cili përcillet me sekret, me erë të rëndë peshku, dhimbje dhe djegie. Mund të bartet me marrëdhënie seksuale, por nuk është e domosdoshme.

Diagnostikimi bëhet me marrjen e strishos (sekretit) për ekzaminim laboratorik. Trajtohet me antibiotikë.

Partneri duhet të trajtohet nëse kjo përsëritet shpesh. Te shtatzënat ky infeksion mund të shkaktojë lindje parakohe, prandaj trajtimi është shumë i domosdoshëm.
Kandida

Ky lloj infeksioni nuk është infeksion strikt, i cili bartet me marrëdhënie seksuale. Paraqitet me kruarje, djegie dhe skuqje.

Zakonisht paraqitet te ato femra të cilat marrin tableta kontraceptive, antibiotikë ose asteroide, si dhe gjatë shtatzënisë; poashtu edhe te femrat me sëmundje te sheqerit.

Te meshkujt paraqitet me skuqje te organit gjenital, por shpesh nuk kanë simptoma. Trajtimi bëhet me antimikotikë (Canesten). Meshkujt trajtohen vetëm nëse kanë simptome.
Trihomona

Është infeksion që atakon të dy gjinitë, meshkujt dhe femrat, por simptomat me së shpeshti paraqiten te femrat. Simptomat e këtij infeksioni janë sekreti ngjyrë të verdhë ose të gjelbër me erë peshku, skuqje, djegieje e vaginës.

Ndonjëherë ky infeksion është asimtomatik, por zbulohet me Papa test. Shkaktohet nga paraziti i quajtur protozoa Trichomonas vaginalis. Infeksioni bartet me marrëdhënie seksuale. Është shumë i rrezikshëm te shtatzënat, sepse shkakton pëlcitje të parakohshme të cipave të lëngut amnial si dhe lindje para kohe. Diagnostifikimi bëhet me teste laboratorike të sekretit vaginal, ndërsa te meshkujt, lëng nga uretra. Shërimi i partnerit është i domosdoshëm edhe nëse nuk ka simptome. Trajtimi bëhet me antibiotikë zakonisht me dozë të vetme Mentronidazol (Flagyl).
Herpes Simplex Virusi

Infeksion i cili bartet me marrëdhënie seksuale. Femra kur ka virus të herpesit gjenital, zhvillohen lezione të ngjashme me herpes labial rreth vaginës dhe anusit, atëherë kur virusi është aktiv. Mund të paraqiten lezione të vetme apo grupe të cilat janë të dhimbshme dhe zgjasin disa javë. Herpesi shkaktohet nga virusi herpes simplex. Janë dy tipe të Herpesit 1 dhe 2. Zakonisht tipi 2 (HSV2) shkakton herpesin gjenital, ndërsa tipi 1 shkakton herpesin rreth gojës. Bartet me marrëdhënie seksuale të pa mbrojtur ose seks oral. Herpesi mund të bartet nga lëkura në lëkurë. Për diagnostikimin e këtij infeksion bëhet marrja e strishos nga lezioni për ekzaminim në laborator. Trajtimi bëhet me barin antiviral. psh Aciklovir (Zovirax). Meshkujt trajtohen nëse kanë ataqe të infeksionit, dmth., paraqitje të lezioneve, por kjo mund të përsëritet edhe pas shërimit. Te femrat sulmet e tilla paraqiten kur janë nën stres emocional dhe traumë.
Lythat gjenitale

Te ky lloj i infeksionit paraqiten lytha te vogla në vulvë, vaginë, anus ose cerviks (te meshkujt në penis). Ky infeksion paraqitet dy muaj apo me shumë pas marrëdhënies së pa mbrojtur. Shpeshherë mund të infektoheni nga ky virus, por nuk paraqiten lythat dhe nuk e dimë a jemi te infektuar nga ky virus apo jo. Lythat shkaktohen nga virusi i quajtur human papilloma virus (HPV).

Se paku ka 50 lloje të këtij virusi. Trajtimi i këtij infeksioni bëhet në disa mënyra. Mënyra më e thjesht është aplikimi i kremit të quajtur podphillin i cili duhet të aplikohet disa herë dhe duhet disa ditë të largohen krejtësisht.

Mënyra tjetër është ngrirja dhe djegia e lythave. Pas të gjitha trajtimeve, lythat mund të paraqiten përsëri.
Infeksioni me kllamidia

Klamidia është infeksion i cili bartet përmes kontaktit seksual, shkaktari i të cilit është bakteria Chlamydia trachomatis, e cila infekton vetëm qeniet njerëzore.
Klamidia tek femra lezbike dhe biseksuale
Vendi primar që preket nga infeksioni tek femrat është qafa e mitrës, pjesa që lidh vaginën me mitrën. Infeksioni i qafës së mitrës njihet si cervitis. Simptomet e Klamidias tek femrat mund të përfshijnë:
Komplikimet nga mostrajtimi i klamidias zakonisht prekin femrat më shumë se meshkujt. Tek femrat, infeksioni i patrajtuar mund të përhapet në mitër ose tubat fallopiane dhe të shkaktojë sëmundje inflamatore të pelvikut që mund të shkaktojë dëmtim të përhershëm të tubave fallopiane, mitrës dhe indet rrethuese që si pasojë çojnë në dhimbje kronike të pelvikut, sterilitet dhe shtatëzëni ektopike (shtatëzënia jashtë mitrës).
Komplikimet e klamidias tek meshkujt nuk janë të zakonshme por mund të përfshijnë dhimbje, ethe dhe në rastet e rralla sterilitet. Komplikimet tek meshkujt janë të rralla. Infkesioni mund të përhapet tek epidimisi (tubi i cili bart spermën nga testikujt) duke shkaktuar dhimbje, ethe dhe rrallë, sterilitet.
Shkaktohet nga bakteria e quajtur Chlamydia trachomatis. Bartja e infeksionit bëhet vetëm me rrugë seksuale. Ky infeksion bartet nga nëna e infektuar te foshnja gjatë lindjes vaginale. Bakteria chlamydia shkakton dy të tretat e infeksionit te pelviku (PID). Diagnostikimi bëhet me marrjen e strishos nga cerviksi te meshkujt, nga retra, si dhe bëhet analizë të gjakut dhe urinës.
Trajtimi bëhet me antibiotikë sa me shpejt që bëhet diagnostikimi dhe duhet të trajtohen të dy partnerët.
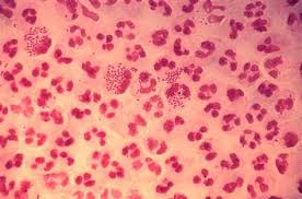
Gonorea

Shkaktohet nga bakteria Neisseria gonorrhoea. Afekton vaginen, cerviksin, uretren dhe rektumin. Është gjithashtu një ndër shkaktarët e shpeshtë të infeksionit të pelvikut.

Paraqitet me ndryshime në sekretin vaginal, me ngjyrë të bardhë në të verdhë, dhimbje në fund të barkut, djegie gjatë urinimit si dhe simptome të infeksionit rektal (zorrës së trashë), kruarje, skuqje, gjakderdhje dhe dhimbje të zorrës së trashë.

Te meshkujt, simptomat paraqiten dy deri në pesë ditë pas marrëdhënies së pambrojtur. Diagnostikimi bëhet me teste të ndryshme laboratorike.

Ky infeksion është gjithashtu shumë i rrezikshëm te shtatzënat. Trajtimi bëhet te të dy partnerët me doza të mëdha të antibiotikëve.
Sifilisi
Ky infeksion shkaktohet nga organizmat (shumë të afërt me bakterie) të vegjël të quajtur spirochaet-treponema pallidum. Koha e paraqitjes së simptomeve pas infektimit me sifilis është mesatarja 21 ditë. Infeksioni lokalizohet në hyrje të vaginës dhe retrës, me paraqitjen e ulcerave të vogla të quajtura chancre. Simtomat janë të shumta dhe është shumë vështirë të diagnostikohet nëse nuk bëhet testi serologjik. Shërimi i sifilisit bëhet sipas trajtimit më të vjetër dhe ende shumë efektiv me antibiotikë-penicilinë. Në rast të mostrajtimit te sifilisit mund të dëmtojë zemrën, aortën, trurin, sytë dhe eshtrat.
*********************
Sifilisi është një lloj i sëmundjes seksualisht të transmetueshme. Kjo vjen si rezultat i infeksionit bakterial të traktit gjenital me bakterie të quajtur Treponema pallidum.
Sifilisi shpesh bartet përmes kontaktit të drejtpërdrejt me plagën e shkaktuar nga sifilisi, gjatë seksit vaginal, anal apo oral. Këto plagë kryesisht shfaqen në gjenitalet e jashtme, vaginë, anus ose në rektum. Plagët mund të shfaqen gjithashtu në buzë dhe në gojë. Gjithashtu sifilisi mund të bartet nga femra shtatzënë e cila është e infektuar në foshnjën e saj. Bakteria e sifilisit (treponema pallidum) është e brishtë. Prandaj, sifilisi nuk mund të bartet përmes përdorimit të tualetit, pishinave, vaskave, veshjeve të përbashkëta ose të përdorimit të enëve ose mjeteve të njëjta të ngrënit.
Sifilisi ka disa stade. Simptomet dallojnë në secilën fazë, por shpesh nuk ka simptome, edhe pse mund të ndodhin dëme serioze.
Lezbikët dhe femrat biseksuale nuk janë imune ndaj infeksioneve seksualisht të transmetueshme, prandaj ato duhet të testohen për këto sëmundje. Sifilisi është shumë infektues dhe mund ta bartë kontakti i ngushtë me lëkurë gjatë seksit ose ndarja e lodrave seksuale mund ta bartë atë. Simptomet nuk shfaqen gjithmonë por mund të përfshijnë plagët e hapura në vaginë, anus ose fyt. Gjithashtu mund të keni skuqje me puçrra në trup ose simptomet e ftohjes. Çfarëdo kontakti siç është seksi oral ose përdorimi i dorës së njëjtë me të cilën e keni prekur veten dhe pastaj partnerin e juaj mund të shkaktojë rrezik. Dy femra që janë të dyja me menstruacionet janë në një rrezik më të lartë.
Pas disa viteve të fundit, ka pasur një rritje drastike të numrit të rasteve të reja me sifilis tek meshkujt që kanë marrëdhënie seksuale me meshkuj, në qytetet dhe vendet e ndryshme. Kjo lidhej pjesërisht me meshkujt gej që gjejnë partneret e tyre seksuale përmes internetit. Studimi i bërë në San Francisko tregon se 23 përqind të meshkujve me rastet e reja të sifilisit raportuan se kanë përdorur internetin për të gjetur partnerë seksual.
Sifilisi mund të shërohet lehtë në stadet e hershme. Vetëm një injekcion intramuskular me penicilinë, antibiotik, e shëron personin i cili ka pasur sifilis për më pak se një vit.Dozimet shtesë nevojiten për të trajtuar personat që kanë pasur sifilis më gjatë se një vit. Për personat që janë alergjik ndaj penicilinës, ekzistojnë antibiotikë tjerë që mund ta trajtojnë sifilisin. Nuk ka mjete tjera shtëpiake apo medikamentet tjera që do ta kurojnë sifilisin. Trajtimi do ta vras bakterien e sifilisit dhe parandalojë dëme të mëtejshme por nuk do ta riparojë dëmin që tashmë është shkaktuar. Pasi ekziston trajtimi efektiv, është me rëndësi që personat të testohen për sifilis nëse sjellja e tyre seksuale i vë në rrezik të sëmundjeve seksualisht të transmetueshme. Personat që janë duke u trajtuar për sëmundjen e sifilisit duhet të abstenojnë nga kontakti seksual me partnerët e ri derisa të shërohen plotësisht plagët e sifilisit. Personat me sifilis duhet ta njoftojnë partnerin e tyre seksual që edhe ata të testohen dhe të marrin mjekimin nëse është e nevojshme.

Nëse mbetet i patrajtuar, sifilisi mund të përhapet në të gjitha pjesët e trupit. Ka gjasa që sifilisi ta prek zemrën, sytë, trurin, sistemin nervor, eshtrat dhe nyjet. Sifilisi mund të shkaktojë sëmundje mendore, verbim, problemet neurologjike, sëmundjet e zemrës dhe vdekje,
Një sëmundje e cila shkaktohet nga sifilisi është neurosifilisi. Kur bakteria e cila shkakton sifilisin sulmon sistemin nervor, tek njerëzit e infektuar mund të zhvillohet neurosifilisi. Disa persona me neurosifilis mund mos të kenë komplikime. Por shumica kanë. Disa nga komplikimet përshfijnë kokëdhimbjet, qafë të ngrirë, ethe, sulme dhe simptomat e tjera të përafërta me sulm në tru (mpirja, dobësi, probleme me shikim). Mund të kalojnë deri 20 vite që të zhvillohet neurosifilisi që nga infeksioni.
E vetmja mënyrë e sigurt për ta parandaluar sifilisin është që të keni marrëdhënie reciproke monogame me një partner i cili nuk është i infektuar, të përdorni kondom pasi që ata mund ta zvogëlojnë rrezikun e kontraktimit të sëmundjes, por vetëm nëse kondomi mbulon plagët e sifilisit, të mos përdorni alkool dhe droga tjera të cilat mund ta mjegullojnë gjykimin e juaj dhe t’ju çoj të hyni në marrëdhënie të pasigurta seksuale, të flisni me mjekun dhe partnerin (ët) e juaj seksual dhe të testoheni.
Cistet, armiku i trupit të femrës

Mund të themi se pothuajse çdo femre i është dashur të përballet me cistet, të paktën një herë në jetë, një shqetësim që prek kryesisht femrat nga mosha 20 deri në 40 vjeçe. Cisti është cilësuar një shqetësim tipik femëror për arsye anatomike (te gruaja uretra është më e shkurtër sesa te burri dhe kjo e lehtëson daljen e mikrobeve që jetojnë në zorrë dhe në zonën vaginale) dhe hormonale (vajzat që nuk kanë menstruacione janë më të prirura të preken nga infeksionet e veshkave). Ndryshe nga infeksionet e tjera është e thjeshtë të ekzaminohet, sepse simptomat janë precize dhe të njëjta për të gjitha femrat: dhimbje kur urinojnë, duket sikur u rëndon diçka në pjesën fundore të barkut dhe dhembje trupi. Ndonjëherë urina mund të përmbajë ndonjë pikë gjak dhe nevoja për të dalë në banjë mund të jetë e papritur dhe shumë e shpeshtë. Pra, janë të gjitha shqetësime, që i detyrohen një infeksioni të veshkave shkaktuar nga disa baktere, të cilat jetojnë në brendësi të trupit të njeriut, pa dhënë probleme, por që kur prekin veshkat i pezmatojnë. Kur një femër ndien dhimbje të forta në fund të barkut, gjëja e parë që duhet të bëjë, është t‘i drejtohet doktorit personal, i cili më pas e këshillon të kryejë disa lloje analizash. Natyrisht që analiza më e rëndësishme është urinokultura, e cila shërben për të kuptuar se çfarë ka shkaktuar infeksioni dhe cilat ilaçe antibakteriale duhen përdorur për të luftuar infeksionin. Në rast se simptomat ripërsëriten do të jetë e nevojshme t‘i nënshtroheni një ekografie të aparatit urinar ose një urografie për të kuptuar nëse zanafilla e problemit duhet të kërkohet te një shkaktar tjetër, si pielonefriti, një infeksion që prek pjesën e sipërme të aparatit urinar.

Ç’janë kistet?
Cistet në vezore janë të mbushura me lëng apo përmbajtje gjysmë të lëngshme që krijohen në vezore. Numri i diagnozave të cisteve është rritur me zgjerimin e përdorimit të kontrolleve fizikale dhe ultrazërit. çdo muaj, vezoret normale krijojnë ciste të vogla që quhen gjëndra Graf, nga të cilat njëra në mesin e cikleve është dominues dhe arrin madhësinë deri në 2.4 cm dhe nga ai lëshohen qeliza të pjekura vezore gjatë evoluimit. Kur gjëndra shpërthen bëhet një trup i verdhë, i cili është i madhësisë prek 1.2 deri në 2 cm kur është e pjekur dhe ka mes ciste. Nëse nuk ndodh pllenimi, ajo zvogëlohet dhe zhduket, ndërsa në rast të pllenimit së pari rritet dhe pastaj zvogëlohet gjatë shtatzënësisë.
Llojet
Cistet në vezore krijohen në procesin e evoluimit dhe quhen ciste funksionale, sepse gjenden në kuadër të funksionit të vezoreve, ndërsa ndahen në ato gjëndra dhe luteale. Cistet funksionale të shumëfishta krijohen si rezultat i rritjes së stimulimit hormonal apo ndjeshmërisë së tepërt. P.sh paraqiten gjatë procesit të kurimit të jopjellorisë kur vezoret stimulohen me ilaçe të caktuara. Kështu, nëse nuk rregullohet doza e duhur dhe vjen deri te stimulimi i tepërt, atëherë krijohet ciste.
Faktorët
Por cilët janë faktorët që mund të shkaktojnë një sulm cistit akut? Faktorët janë të ndryshëm, por kur ato identifikohen ndihmojnë për të mos pasur të rinj. Marrëdhëniet seksuale, për shembull, mund të shkaktojnë të ashtuquajturin “cistitin e muajit të mjaltit”. Kryesisht ato që preken janë femrat me një aktivitet seksual intensiv (të paktën tri marrëdhënie në javë). Ndonjëherë bakteret e zorrëve mund të jenë të pranishme në zonën gjenitale dhe gjatë një marrëdhënieje mund të infektojnë rrugët urinare. Për të shmangur këtë të keqe, është mirë që pas çdo takimi të zjarrtë të bëni urinën. Edhe femrat që vuajnë nga kapsllëku kronik, preken më shpejt nga infeksioni i rrugëve urinare. Kështu, bakteret e pranishme për një kohë të gjatë në zorrë, mund të shkaktojnë djegie dhe inflamacion në rrugët urinare. Në këtë rast duhet të konsumoni sa më shumë fruta, zarzavate dhe ushqime integrale. Por shfaqja e cisteve mund të varet edhe nga faktorë të tjerë, më të zakonshmet janë ekspozimi ndaj të ftohtit, stresi, çrregullimet menstruale, alergjitë, mosushqyerja, si dhe shqetësimet psikosomatike. Pra, në rast cistiti, por edhe higjienë dietetike korrekte është shumë e rëndësishme të konsumoni 1,5 litra ujë në ditë.
Higjiena
Një rol shumë të rëndësishëm luan edhe higjiena intime. Duhet të shmangni medoemos, kur përdorni letër higjienike, kalimin nga zona anale në atë gjenitale për të mos transportuar baktere. Gjithashtu, nuk duhet të vishni mbathje të ngushta dhe sintetike. Lahuni shumë herë në ditë, por mos përdorni detergjentë intimë, sepse këto të fundit mund ta ndryshojnë pehazhin dhe ulin mbrojtjen e organizmit. Edhe gjaku i menstruacioneve është terren pjellor për shumimin e baktereve. Në këtë rast, këshilla e duhur është të ndërroheni çdo dy orë, edhe nëse nuk keni shumë fluks. Një tjetër faktor për krijimin e cisteve është edhe fillimi i menopauzës.
Cilat mosha janë më të rrezikuara? Më të rrezikuara janë ato mosha ku mbrojtësit natyrorë janë të ulët dhe lehtësisht të prekshëm nga sulmi dhe virulenca e mikrobeve. Për shembull te vajzat e vogla mungojnë ende mbrojtësit e epitelit të sipërfaqes së vaginës dhe veshkave. Te moshat e rritura, infeksionet vaginale luajnë një rol shumë të rëndësishëm, sidomos kur një femër ka shumë partnerë dhe kryen marrëdhënie seksuale të pambrojtura. Dhe në fund në menopauzë (ashtu siç u ndodh vajzave të vogla). Te gratë në menopauzë mungojnë sërish mbrojtësit e epitelit të sipërfaqes së vaginës dhe veshkave, kështu që bakteret mund të jenë të pranishme në pjesën e poshtme të organit gjenital.
Cistet në vezore krijohen në procesin e evoluimit dhe quhen ciste funksionale, sepse gjenden në kuadër të funksionit të vezoreve. Cistet në vezore shpesh shkaktojnë panik të madh nga frika për tumor, edhe pse shumica prej tyre janë plotësisht të parrezikshme. Cistet mund të paraqiten në cilëndo moshë, por më së shpeshti janë në periudhën e riprodhimit dhe janë të rralla pas menopauzës. Cistet në vezore paraqiten gati tek të gjitha femrat në periudhën e riprodhimit. Shumica e këtyre cisteve janë funksionale dhe të parrezikshme. Cistet në vezore janë të mbushura me lëng apo përmbajtje gjysmë të lëngshme që krijohen në vezore. Numri i diagnozave të cisteve është rritur me zgjerimin e përdorimit të kontrolleve fizikale dhe ultrazërit. Çdo muaj, vezoret normale krijojnë ciste të vogla që quhen gjëndra Graf, nga të cilat njëra në mesin e cikleve është dominues dhe arrin madhësinë deri në 2.4 cm dhe nga ai lëshohen qeliza të pjekura vezore gjatë evoluimit. Kur gjëndra shpërthen bëhet një trup i verdhë, i cili është i madhësisë prek 1.2 deri në 2 cm kur është e pjekur dhe ka mes ciste. Nëse nuk ndodh pllenimi, ajo zvogëlohet dhe zhduket, ndërsa në rast të pllenimit së pari rritet dhe pastaj zvogëlohet gjatë shtatzënësisë. Cistet në vezore krijohen në procesin e evoluimit dhe quhen ciste funksionale, sepse gjenden në kuadër të funksionit të vezoreve, ndërsa ndahen në ato gjëndra dhe luteale. Cistet funksionale të shumëfishta krijohen si rezultat i rritjes së stimulimit hormonal apo ndjeshmërisë së tepërt. Për shembull paraqiten gjatë procesit të kurimit të jo-pjellorisë kur vezoret stimulohen me ilaçe të caktuara. Kështu, nëse nuk rregullohet doza e duhur dhe vjen deri te stimulimi i tepërt, atëherë krijohet ciste.
Simptomat te cistet e parrezikshme janë kryesisht të njëjta. Paraqitet dhimbje në stomak dhe ndjenja e pakëndshme e presionit në zorrën e trashë, apo fshikëz. Po ashtu, paraqitet edhe çrregullimi i ciklit menstrual, si dhe ndjenja e fryrjes dhe çrregullime në tretje. Për sa i përket diagnostikimit të cisteve, së pari, duhet të bëhet ultrazëri, i cili tregon karakteristikat morfologjike të cistit. Cistet e thjeshta kanë një gropë dhe një mur të hollë përreth saj dhe tek ato ka shumë pak gjasa që të jenë të rrezikshme. Cistet komplekse kanë disa pjesë, trashja e murit, ndarje dhe çrregullim në përmbajtjen e cistit. Tek këto ekziston dyshimi për tumore të rrezikshëm. Pas kontrollit të parë, mundeni lirisht të bëni ultrazërin trans-vaginal, i cili në detaje tregon strukturën e mitrës, ndërsa ultrazëri trans-vaginal është zgjidhje edhe më e mirë, sepse tregon masa të mëdha dhe mundëson kontrollin e strukturë në gropën e stomakut (veshkat, mëlçinë, lëngjet e lira). Kurimi tek cistet e thjeshta nuk është i nevojshëm. Tek paraqitja e cisteve tek femrat që janë në menopauzë është e nevojshme të bëhet CA125 (tumor-shënuesi për mitër dhe vezore). Natyrisht, kurimi kryhet sipas shkaktarit. Cistet që janë paraqitur që herët dhe pas gjashtë muajsh terapie ende qëndrojnë, ndërsa janë më të mëdha se 5 deri 10 centimetra, duhet të hiqen në mënyrë kirurgjike. E njëjta vlen edhe për cistet komplekse. Operimet kryhen me metodë kirurgjike laparaskopike dhe klasike. Gjatë shtatzënësisë, për shkak të kontrolleve të ultrazërit, cistet në vezore shpesh vërehen. Kurimi i cisteve tek shtatzënat është i njëjtë tek të gjitha femrat: cistet e parrezikshme, vetëm përcillen dhe kryesisht tërhiqen në mënyrë spontane. Cistet e tjera që janë aty më shumë se gjashtë muaj dhe janë të madhësisë mes 5 dhe 10 centimetra, apo ato që janë shenja të dyshimta se janë të rrezikshme, duhet të hiqen në mënyrë kirurgjikale. Me rastin e heqjes së cisteve, fëmija nuk është në kurrfarë rreziku.
Problemi kryesor te gratë me sindromën e vezoreve policistike është shtimi i peshës. Këtyre pacienteve u propozohet që të zvogëlojnë peshën trupore, gjë e cila sjell edhe shumë ndryshime të tjera pozitive. Zvogëlimi i peshës trupore vetëm për 5 për qind, mundet që sërish të rivendosë funksionin e vezoreve gjerësisht ciklet menstruale të shoqëruara me ovulacion. Pesha trupore normale në të njëjtën kohë do të thotë edhe më pak probleme me rritje të kolesterolit, lipideve dhe insulinës. Së bashku me humbjen e peshës, me rëndësi është edhe aktiviteti fizik, mospirja e duhanit, alkoolit, dhe në përgjithësi regjim i rregullt jetese. Në kuadër të mjekimit të sterilitetit (shterpësisë), problemi kryesor janë ciklet anovulatore. Për këtë qëllim duhet të bëhet stimulimi i ovulacionit, shpesh i shoqëruar me frenim të aktivitetit të hipofizës dhe marrëdhënie seksuale në kohë të caktuar. Shtatzënia ka ndikim shumë pozitiv në sindromën e vezoreve policistike. Problemet e tjera që lidhën me anovulacionin janë gjakderdhjet e çrregullta menstruale, vonesa e menstruacioneve (amenorreja), e cila mund të mjekohet me dhënien e terapisë me gestagjene ose kontraceptivë oralë dhe niveli i lartë i testosteronit, i cili mjekohet me dhënien e barnave antiandrogjenik. Për këtë qëllim në rend të parë aplikohet bari ciproteronacetat (ose Diane 3 5; Androcur), i cili përshkruhet në bazë të skemave të caktuara gjerësisht, skema e kundërt e Kauffmann-it ose skema sipas Hammerstein-it. Përveç këtyre barnave edhe pse me një përqindje më të vogël të inhibimit të receptorëve androgjenik, mund të përdorët klormadinonacetati (Belara, Neo-Eunomin) dhe dienogest (Valette). Nëse shfaqen probleme të theksuara metabolike si rezistenca periferike në insulinë dhe hiperinsulinemia që është edhe shkak i problemit me kolesterol dhe lipide si dhe një varg problemesh të tjera metabolike dhe endokrinologjike që së bashku çojnë drejt shfaqjes së sëmundjes së sheqerit e cila haset në rreth 80″90 për qind të rasteve me sindromën e vezoreve polikistike të pamjekuara, përdoret metoformina (Glucophage). Sindromi i vezoreve policistike mund të trajtohet edhe me rrugë kirurgjike (laparoskopi ose laparotomi), e njohur si resekcioni i vezoreve në formë pyke, qëllimi kryesor i së cilës është të zvogëlohet vëllimi i vezoreve të rritur dhe në këtë mënyrë edhe uljen e prodhimit të shtuar të hormoneve seksuale mashkullore.

Sindroma e vezoreve policistike (PCOS) përfshin një varg simptomash, fillimisht me një ndryshim të ndërtimit të vezoreve të cilat gjatë vizitës ultrasonografike japin një ndërtim karakteristik, madhësia e të cilave ndryshon nga madhësia normale e deri në shumë të rritur. Nën kapsulën e vezoreve shfaqen një varg folikulash të vogla, që i japin pamjen e qafores me rruaza me madhësi maksimale deri në 7-8 mm. Kjo sindromë është përshkruar në vitin 1905, nga ana e Stein-it dhe Leventhal-it si një grumbull simptomash: amenore (mungesë e menstruacioneve), shtim i peshës- majmëri dhe vezore policistike. Sindroma e vezoreve policistike shfaqet në rreth 3 për qind të adoleshenteve dhe femrave të rritura. Mund të paraqitet që nga menstruacioni i parë. Shpesh diagnostikohet te femrat e reja, fillimisht për shkak të cikleve menstruale të parregullta gjatë pubertetit, që bëhen shkak për paraqitjen e hiperandrogjenemisë (shtim i nivelit të hormoneve seksuale mashkullore”androgjeneve), në moshën para pubertetit. Niveli i ngritur i testosteronit vepron në gjëndrat dhjamore duke shkaktuar shfaqjen e seboresë (krunde në flokë) puçrrave-akne sidomos në fytyrë. Testosteroni, me veprimin në folikulën e qimeve, nxit shfaqjen e qimeve (hiruzitizëm) të tipit mashkullor, ndërsa qimet e kokës hollohen, dobësohen dhe fillojnë e bien duke imituar rënie të flokut të tipit mashkullor (tullac).
Cistet në vezore krijohen në procesin e evoluimit dhe quhen ciste funksionale, sepse gjenden në kuadër të funksionit të vezoreve, ndërsa ndahen në ato gjëndra dhe luteale. Cistet në vezore shpesh shkaktojnë panik të madh nga frika për tumor, edhe pse shumica prej tyre janë plotësisht të parrezikshme. Cistet mund të paraqiten në cilëndo moshë, por më së shpeshti janë në periudhën e riprodhimit dhe janë të rralla pas menopauzës. Cistet në vezore paraqiten gati tek të gjitha femrat në periudhën e riprodhimit. Shumica e këtyre cisteve janë funksionale dhe të parrezikshme.
Simptomat tek cistet e parrezikshme janë kryesisht të njëjta. Paraqitet dhimbje në stomak dhe ndjejnë e pakëndshme e presionit në zorrën e trashë, apo fshikëz. Po ashtu, paraqitet edhe çrregullimi i ciklit menstrual, si dhe ndjenja e fryrjes dhe çrregullime në tretje.
Së pari bëhet ultrazëri, i cili tregon karakteristikat morfologjike të cistes. Cistet e thjeshta kanë një gropë dhe një muri të hollë përreth saj dhe tek ato ka shumë pak gjasa që të jenë të rrezikshme. Cistet komplekse kanë disa pjesë, trashja e murit, ndarje dhe çrregullim në përmbajtjen e cistes. Tek këto ekziston dyshimi për tumore të rrezikshëm. Pas kontrollit të parë, mundeni lirisht të bëni ultrazërin trans-vagjinal, i cili në detaje tregon strukturën e mitrës, ndërsa ultrazëri trans-vagjinal është zgjidhje edhe më e mirë, sepse tregon masa të mëdha dhe mundëson kontrollin e strukturë në gropën e stomakut (veshkat, mëlçinë, lëngjet e lira).
Kurimi tek cistet e thjeshta nuk është i nevojshëm. Tek paraqitja e cistes tek femrat që janë në menopauzë është e nevojshme të bëhet CA125 (tumor-shënuesi për mitër dhe vezorë). Natyrisht, kurimi kryhet sipas shkaktarit. Cistet që janë paraqitur qysh moti dhe pas gjashtë muajsh terapie ende qëndrojnë, ndërsa janë më të mëdha se 5 deri 10 centimetra, duhet të hiqen në mënyrë kirurgjike. E njëjta vlen edhe për cistet komplekse. Operimet kryhen me metodë kirurgjike laparaskopike dhe klasike.
Gjatë shtatzënësisë, për shkak të kontrolleve të ultrazërit, cistet në vezore shpesh vërehen. Kurimi i cisteve tek shtatzënat është e njëjtë tek të gjitha femrat: ciste e parrezikshme, vetëm përcillen dhe kryesisht tërhiqen në mënyrë spontane. Cistet e tjera që janë aty më shumë se gjashtë muaj dhe janë të madhësisë mes 5 dhe 10 centimetra, apo ato që janë shenja të dyshimta se janë të rrezikshme, duhet të hiqen në mënyrë kirurgjikale. Me rastin e heqjes së cisteve, fëmija nuk është në kurrfarë rreziku.

Kanceri i qafës së mitrës është një tumor që formohet në qafen e mitrës. Qafa e mitrës ndodhet në fundin e mitrës dhe lidh atë me vaginen. Kanceri i qafës së mitrës ndodh kur qelizat e qafës së mitrës fillojnë të rriten në mënyrë jo normale dhe të pakontrolluar.
Sa i shpeshtë është kanceri i qafës së mitrës?
Kanceri i qafës së mitrës është një nga kanceret më të shpeshta tek femrat dhe takohet sidomos tek femrat rreth moshës 40 vjec. Kanceri i qafës së mitrës është i dyti pas kancerit të gjirit, por ka një vdekshmëri më të lartë. Në pjesën më të madhe të rasteve, kanceri i qafës së mitrës kapet në faza shumë të avancuara. Çdo vit rreth 500000 gra në botë preken nga kanceri i qafës së mitrës dhe gjysma e tyre vdesin nga kjo sëmundje. Në botë çdo 2 min një grua vdes nga kanceri i qafës së mitrës. Në Evropë çdo 18 min një grua vdes nga kanceri i qafës së mitrës.
Në Shqipëri kanceri i qafës së mitrës është kanceri që haset më shpesh tek femrat pas kancerit të gjirit. Në Shqipëri rastet me kancer të qafës së mitrës kanë ardhur duke u rritur, ndërsa vdekshmëria prej tij është dyfishuar.

Cili është shkaktari kryesor i kancerit të qafës së mitrës?
Shkaktari kryesor i kancerit të qafës së mitrës është Virusi i papilomes njerëzore ose HPV. Ka më shumë se 100 tipe virusesh të HPV, por një pjesë prej tyre janë viruse me rrezikshmëri të lartë dhe shkaktarë të kancerit të qafës së mitrës. HPV është një virus që mbetet i fshehur në organizëm pa dhënë asnjë shenje sëmundjeje. HPV përhapet nëpërmjet kontakteve seksuale. Infeksioni nga HPV është më i zakonshëm në grupmoshat e reja të cilat janë seksualisht aktive.
Sa kohë do kanceri i qafës së mitrës të zhvillohet?
Nga momenti i shfaqjes së qelizave jo normale në qafën e mitrës deri në shfaqjen e plotë të kancerit në qafen e mitrës duhen shumë vjet, rreth 10 vjet deri në 20 vjet. Fatmirësisht koha e gjatë e zhvillimit të këtij kanceri i jep mundësi çdo femre ta kapi në kohë atë, nëse kontrollohet rregullisht.
Cilat femra rrezikohen prej kancerit të qafës së mitrës?
Çdo grua mund të preket nga kanceri i qafës së mitrës.
Por një femër është më e rrezikuar për t’u prekur nëse:
*Ka filluar herët aktivitetin seksual.
*Ka partnere seksual të shumtë.
*Ka partnere të cilët kanë pasur shumë partnerë seksualë.
*Ka një infeksion nga virusi i papilomes njerëzore-HPV.
*Nëna, motra apo gjyshja e tyre ka pasur kancer të qafës së mitrës.
*Ka apo ka pasur një infeksion seksualisht të transmetueshëm përfshi HIV/AIDS.
*Pi duhan.
*Ka pasur shtatzëni të shumta.
*Ka imunitet të ulët.
Si mund të mbroheni nga kanceri i qafës se mitrës?
Rreziku në qafën e mitrës zvogëlohet nëse ju:
*Vaksinoheni me vaksinën kundër virusit HPV që shkakton kancerin e mitrës.
*Bëni rregullisht PAP TESTIN.
Të dyja së bashku ju mbrojnë nga kanceri i qafës së mitrës.
Ç’duhet bërë nëse rezultati i testit është jo normal?
Nëse PAP Testi tregon një dyshim apo një gjendje jo normale, mjeku do t’u kërkojë të përsërisni testin pas 6 muajsh apo do t’u kërkojë të kryeni një ekzaminim të quajtur kolposkopi. Gjatë saj shikohet nga afër qafa e mitrës, nëpërmjet një instrumenti që vepron si mikroskop por që quhet kolposkop. Gjithashtu mjeku mund të marrë një material të vogël nga indet e qafës së mitrës për t’i ekzaminuar në laborator. Kjo procedurë quhet BIOPSI. Biopsia është e vetmja mënyrë e sigurt për të përcaktuar nëse qelizat jo normale kanë lidhje me kancerin.
******

Kanceri i gjirit është një tumor malinj që zhvillohet nga qelizat e gjirit, dhe është një prej kancerëve më të shpeshtë që prek femrat. Kërkime të fundit vënë gisht mbi shumë faktorë të ndryshëm që mund ta shkaktojnë këtë.

Faktorët rrezikues janë listuar si më poshtë, nisur nga rëndësia e tyre:
Në bazë të studimeve, sëmundja e shekullit është gjenetike dhe ka lidhje familjare. Shmangia e dhënies gji, lejon rritjen e disa qelizave jo normale. Këshillohet ushqyerja e foshnjës për një periudhë të shkurtër, të paktën gjashtëmujore. Gjëja më e mirë do të ishte nëse do t‘i jepnit gji fëmijës 9-10 muajt e parë. Mungesa e aktivitetit të rregullt seksual.
-Abortet.
-Stresi kronik.
-Injektimet në gji.
-Qëndrim i tejzgjatur në diell.
Mënyra jo e shëndetshëm e jetesës (obeziteti, pirja e duhanit dhe abuzimi me pijet alkoolike).
Gjithsesi, nuk duhet të shqetësoheni, edhe nëse zbuloni se jeni një kandidat me rrezik të madh. Ashtu si shumë sëmundje të tjera, ju mund të minimizoni rrezikun e kancerit në gji, duke marrë masa parandaluese në kohën e duhur:
1. Bëni vizita mjekësore sa herë ndjeni shqetësime, por edhe kur e ndjeni veten mirë. Bëni një jetë të shëndetshme, bini në peshë nëse jeni mbipeshë.
2. Përpiquni të minimizoni stresin. Mundohuni të keni një aktivitet seksual të rregullt.
3. Ushqehuni duke ndjekur një dietë të caktuar. Hani ushqime që janë të pasura me vitaminë A, E dhe C, p.sh., karota, spinaq, kajsi dhe agrume. Është mirë që ato t‘i bëni pjesë të pandashme të dietës suaj ditore.
4. Nguliteni në mendje se lindja e fëmijës dhe ushqimi me gji janë shumë të rëndësishme për shëndetin e gjirit tuaj.
Mundohuni t‘i ndiqni të gjitha rekomandimet e mësipërme, por sërish ju jeni të ekspozuar nga rreziku i prekjes së kësaj sëmundjeje, ky është një nga disavantazhet e të qenit femër.
************************

Sëmundjet e zemrës nuk prekin vetëm meshkujt, por janë vrasëset më të mëdha të femrave në SHBA.
Afërsisht 40% të të gjitha femrave që vdesin kanë si shkaktar të vdekjes sulmet në zemër ose sëmundjet e zemrës.
“Në këtë mënyrë vdesin më shumë gra sesa numri i grave që vdesin nga të gjitha llojet e kancerit të marra së bashku”, thuhet në një botim të Institutit Kombëtar të Shëndetit në SHBA.
Me gjithë përpjekjet për të edukuar femrat në lidhje me rrezikun nga këto sëmundje, 45% e grave amerikane nuk e dinë se rreziqet më të mëdha për shëndetin e tyre vijnë nga sëmundjet e zemrës dhe sulmet e zemrës.
-13% e grave amerikane i shohin sëmundjet e zemrës (por jo sulmet e zemrës) si një rrezik për shëndetin.
-Sëmundjet kardiovaskulare vrasin afërsisht gjysmë milioni gra në vit në SHBA.
-Një amerikane në minutë vdes nga sëmundjet kardiovaskulare.
Afërsisht një e treta e të gjitha femrave dhe e meshkujve moshërritur në SHBA vuajnë nga ndonjë formë e sëmundjeve kardiovaskulare.
Sëmundjet kardiovaskulare marrin jetën e një banori ose banoreje të SHBA-së çdo 35 sekonda.
Më shumë gra amerikane mbi moshën 25-vjeçare vdesin nga sëmundjet koronare të zemrës sesa nga çdo sëmundje tjetër.
64% e të gjitha grave amerikane që kanë vdekur befasisht nga sëmundje koronare të zemrës, kanë vdekur pa pasur simptoma të mëhershme.
Ndërkohë që numri i grave amerikane që vdesin nga kanceri është 1 në 30, numri i atyre që vdesin nga sëmundjet kardiovaskulare është 1 në 2.6.
Problemet me zemrën mund të jenë shkaktarë kryesorë të vdekjeve në femra dhe meshkuj, por ju nuk keni pse te trembeni duke e pranuar si një risk tuajin. Edhe pse nuk mund të keni fuqinë të ndryshoni disa faktorë rrezikues si historia e familjes, mosha dhe raca, ju keni gjithmonë në dorë të jetoni me stil. Shmangni dëmtimet në zemër, duke lënë duhanin, bëni ushtrime rregullisht dhe hani ushqime të shëndetshme. Ja 5 strategjitë nga mund të marrësh startin:

Nëse i bëni dalje duhanit, atëherë keni në dorë fuqinë e madhe të parandalimit nga infarktet. Cilësia e cigareve nuk të jep siguri. Cigaret me përqindje nikotine të ulët, janë njësoj rrezikues si për ata që nuk e pinë duhanin por e marrin në ambientin ku pihet nga të tjerët. Femrat që pinë duhan janë shumë herë më të rrezikuar se të tjerat.

Madje kanë një ulje të moshës së infarkteve, mbi 35 vjeç. Por nëse vendosni ta lini në moment jeni në kohë për të fituar qoftë edhe një vit jetë. Lajm i mirë: Nuk ka problem sa vite keni qenë duhanpirës i rregullt, ju keni kohë për të fituar.
Tashmë e dini se ushtrimet gjimnastikore janë më e mira për ju. Por ende nuk bëni asnjë: Ushtrimet e rregullta fizike të kombinuara me një jetë të organizuar mirë, ndihmojnë në arritjen e një peshe trupore normale dhe reduktojnë mjaft goditjet në zemër. Ato ndihmojnë reduktimin e presionit të lartë të gjakut, kolesterolit të lartë dhe diabetit. Kardiologët rekomandojnë 30-60 minuta aktivitet fizik, një mesatare kjo e aktivitetit mendor ditor ose javor në punë. Dhe kujtohuni që këtu përfshihen edhe shëtitjet në lulishte, me qenin, hipja-zbritja e shkallëve, etj. Pra ju këshillohet të mos rrisni kohën e vrapit, por intensitetin fizik të jetës.
Përdorni një dietë të pasur me fruta, perime, drithëra, peshk që mbrojnë zemrën. Limitoni konsumimin e yndyrave, si mish, djathë, gjalpë, qumësht. Përdorni groshët dhe thjerrëzat në vend të mishit. Frutat dhe perimet janë parandaluesit kryesorë jo vetëm të sëmundjeve të zemrës por edhe të kancerit, shprehet kardiologët.
Si mund ta dini që keni një peshë të shëndetshme? Mbipesha është e rrezikshme. 25 kg më shumë se normalja është pesha që ia vlen të shqetësohesh pasi mund të jesh në risk. Por llogaritja e peshës nuk është ideale krahasuar me gjatësinë trupore, pasi shumë meshkuj kanë një peshë mbi normalen si pasojë e muskujve të zhvilluar, por nuk kemi të bëjmë me rrezik nga goditjet në zemër. Reduktimi i peshës trupore është përfitues sado i vogël qoftë pasi ul në 10 për qind rrezikun nga ataku.
Presioni i lartë i gjakut dhe kolesteroli i lartë dobësojnë sistemin kardiovaskular, duke përfshirë dhe zemrën. Ekzaminimet e rregullta ju tregojnë rrugën se ku të mjekoheni: Hipertensioni: Ekzaminimet nisin që në fëmijëri. Ju duhet ta bëni këtë të paktën çdo dy vjet. Presioni normal është më pak se 120/80. Niveli i kolesterolit në gjak. Ju këshillohet testim i rregullt jo vetëm të rriturve por edhe fëmijëve Sëmundjet e zemrës ka raste që shmangen. Ndiqni këshillat për një stil jete të kënaqshëm, mos e komplikoni jetën dhe asnjëherë mos u ndjeni të vetëhumbur.



Kohët e fundit është konstatuar se problemet me zemrën zënë vendin kryesor të sëmundjeve më të shfaqura në popullsinë shqiptare. Nuk është i pakët numri i pacientëve drejtuar qendrave spitalore për të diagnostikuar dhe kuruar problemet me zemrën. Nuk janë të pakta rastet e vdekjeve nga ataku kardiak tek pacientët që kanë probleme me zemrën. Më të prekur janë të moshuarit, por nuk janë të rralla rastet kur edhe persona në moshë të re paraqiten me probleme të tilla. Vetëm një në katër persona të rrezikuar me atak kardiak arrin të kurohet brenda një ore pasi është shqetësuar. Këta janë ata të sëmurë me sëmundje zemre të cilët janë prezantuar nga mjekët kardiologë në kursin e fundit të kongresit të mbajtur për trajtimin e sëmundjeve të zemrës.

Pirja e dy gotave verë çdo ditë i bën mirë zemrës së grave. E ndihmon “të mbajë ritmin”, i lejon të përshtatet më shpejt nevojave të ditës. Aspekt shumë i rëndësishëm ky, që tregon shëndet shumë të mirë dhe ul rrezikun e infarktit. Në këto përfundime kanë arritur studimet mjekësore nga shkenca dhe mjekët kardiologë. Studimi, i udhëhequr nga Instituti “Karolinska” në Stokholm, ka pasur subjekte 120 gra nën 75 vjeç, të mbijetuara nga të një infarkt ose bllokim venash. Efektet ndryshojnë nëse vera zëvendësohet me birrë ose një pije superalkolike. Ndërsa vera, e cila ka një efekt relaksues mbi sistemin nervor, i mundëson zemrës “ta marrë me qetësi” punën e saj. Ka mundësi që këto efekte lidhen me faktin se kush pi verë bën një gjumë më të qetë, duke i lejuar zemrën të punojë më qetë.
Tek femrat me anoreksi dhe ato që kanë humbur shumë shpejt peshën e trupit mund të lajmërohen probleme me zemrën, me rrezik për jetën, të cilat bëhen të dukshme gjatë ushtrimeve, pohojnë ekspertët. Dihet se tek femrat e sëmura nga anoreksia paraqiten probleme në zemër, tek të cilat paraqiten të rrahura të pakta në zemër dhe dëmtim të muskulit të zemrës. Përveç kësaj, shkencëtarët besojnë se vdekja e menjëhershme në rastin e të sëmurëve nga anoreksia kryesisht është rezultat i problemeve në zemër. Një grup shkencëtarësh kanë studiuar punën e zemrës tek 36 vajza me moshë prej 11 deri 18 vjet, të cilat trajtoheshin në spital për shkak mosushqyerjes, të shkaktuara nga anoreksia. Këto femra paraqiteshin me probleme serioze me funksionin dhe shpeshtësinë e rrahjeve të zemrës.
Shenja e parë e sëmundjes së zemrës në 50 për qind të rasteve vihet re vetëm kur zemra pushon së rrahuri. Megjithatë një analizë e thjeshtë e gjakut mund të shpëtojë jetën e shumë njerëzve të rrezikuar nga ataku kardiak. Analiza e gjakut quhet CRP ose Proteina Reaktive C, e cila mund të zbulojë mjaft herët problemet në venat e gjakut duke krijuar kështu mundësi për kurim të suksesshëm. Shkencëtarët besojnë se prekja e arterieve të zemrës është shkaktari nxitës i shumë goditjeve në zemër. Kjo është edhe arsyeja që një nivel i lartë i Proteinës reaktive C mund të jetë vdekjeprurës, edhe kur niveli i kolesterolit është i ulët. Një analizë paraprake e gjakut mund të jetë tregues i qartë i nivelit të kolesterolit dhe proteinës C
Menstruacionet dhe sëmundjet vaginale
Sistemi riprodhues femëror
Sistemi riprodhues femëror përbëhet nga organet seksuale parësore dhe organet seksuale dytësore. Organet seksuale parësore janë dy vezoret. Organet e tjera janë dy oviduktet apo tubat e Falopit që gjenden një në të majtë dhe një në të djathtë të mitrës, dhe lidhin këtët të fundit me vezoret. Tubat e Falopit përfaqësojnë zgjatime të mitrës. Janë të ndërtuar nga shtresa muskuli të lëmuar dhe epiteli me qerpikë, që lejon lëvizjet peristaltike të nevojshme për avancimin e oocitëve dhe të qelizës (qelizave) spermatike. Tubat e Falopit janë edhe vendet e pllenimit.
Mitra dhe vezoret
Mitra është një organ zgavror me formë dardhe me përmasa rreth 7.5 cm gjatësi dhe 5 cm gjerësi. Mitra përfshin një shtresë muskulore të lëmuar, të jashtme – miometrin – dhe një shtresë mukoze të specializuar, të brendshme – endometrin. Funksioni kryesor i mitrës është që të sigurojë fiksimin dhe rritjen e qelizës vezë zë pllenuar dhe ushqyerjen dhe zhvillimin e embrionit. Përfaqëson edhe një rrugëkalimi të spermatozoidëve që tentojnë të arrijnë vezën që duhet pllenuar. Mirta vazhdon me qefën e mitrës, që më tej vazhdon me vaginën. Vagina është një tub muskulor, rreth 7.5 cm i gjatë. Vagina është e veshur (së brendshmi) me lëkurë të modifikuar, që është një epitel luspor (luspak) që shfaq ndryshime ciklike. Shtrihet nga qafa e mitërs e deri jashtë trupit. Është organi që pret penisin; shërben edhe si kanal i lindjes. Organet gjenitale të femrës njihen si vulva; përfshihen klitorin që përputhet me penisin tek mashkulli, dhe përbëhet kryesisht nga ind ngrehës (tendosës, erektues). Buzët (labia) ndahen në buzët e mëdha dhe buzët e vogla. Vulva përfshin edhe daljen jashtë trupit të uretrës femërore. Gjendrat e gjoksit i përkasin organeve seksuale femërore dytësore. Janë të ndërtuara nga dukte dhe shakuj të rrethuar nga ind fibroz dhe lyror. Funksioni i tyre është që të prodhojnë qumësht pas lindjes për ushqyerjen e bebes.
Dy vezoret gjenden, pezull, në zgavrën pelvike, me anë ligamentesh. Vezoret përbëhen nga oocitë në faza të ndryshme zhvillimi. Çdo oocit rrethohet nga qeliza të specializuara që prodhojnë hormone. Kjo strukturë njihet si folikuli ovarian dhe përfaqëson strukturën bazë të vezoreve. Funksion kryesor i vezoreve është të prodhojnë oocitë, nga të cilët do të zhvillohen qelizat vezë. Vezoret kanë edhe një funksion endokrin: ato prodhojnë hormone si estrogjeni dhe progesteroni.
Fazat dhe karakteristikat e menstruacioneve
Menstruacioni i parë (menarha) zakonisht paraqitet në moshën prej 12 deri 13 vjeç. Hulumtimet më të reja, megjithatë, tregojnë se, sot, femrat më herët hyjnë në pubertet. Pesha e madhe është faktor i rrezikut për shfaqjen e pubertetit të hershëm.
Kohëzgjatja e ciklit menstrual
Gjatë vitit të parë deri në dy vite mundet me qenë e ndryshueshme dhe jo e rregullt. Pas kësaj kohe cikli fillon të stabilizohet dhe të zgjas diku rreth 28 ditë. Megjithatë, cikli normal mund të zgjas edhe 20 deri 40 ditë. Mosha është faktor i rëndësishëm për ndryshimet e ciklit. Përafërsisht cikli zgjatë 33 ditë tek fermat më të reja se 21 vjet dhe, 26 ditë tek 40-vjeçaret. Cikli zgjatet në moshën 46 vjeçare dhe mbërrin përafërsisht 31 ditë në moshën 49 vjeçare. Femrat që konsumojnë alkool rregullisht i kanë ciklet më të shkurta, ndërsa femrat me peshë më të vogël dhe ato që merren me sport, më të gjata.
Kohëzgjatja e gjakderdhjes
Gjakderdhja te femrat e moshës së re përafërsisht zgjatë 6-7 ditë. Pas moshës 21 vjeçare gjakderdhja zgjatë 5-6 ditë deri në menopauzë. Megjithatë, vlen të përmendet se rreth 5% e femrave të shëndosha kanë gjakderdhje më të shkurtë se 4 ditë, dhe 5% më gjatë se 8 ditë. Femrat me peshë më të vogël sidomos ato që konsumojnë duhanin gjakderdhin më shumë, ndërsa ato që merren me sport, më pak. Femrat që përdorin spiralen (mjet kontraceptiv) zakonisht kanë gjakderdhje më të gjatë.
Ndërprerja e menstruacioneve
Menstruacionet, natyrisht, ndërpriten gjatë kohës së shtatzënisë. Disa femra vazhdojnë të kenë gjakderdhje jo të rregullta gjatë tremujorit të parë të shtatzënisë. Gjakderdhjet e tilla mund të jenë kërcënim i dështimit (abortit), prandaj duhet patjetër t’i drejtohen mjekut. Gjatë kohës së gjidhënies femra rrallë mund të ketë ovulim 8 javë pas lindjes. Pas këtij intervali menstruacionet zakonisht rikthehen dhe femra prapë është fertile (mund të mbetet shtatzënë). Menopauza është ndërprerja e menstruacioneve e cila zakonisht shfaqet diku rreth moshës 51 vjeçare, ndërsa tek femrat që konsumojnë duhanin edhe më herët.
Çfarë janë çrregullimet menstruale?
Amenorreja është mungesa e menstruacioneve. Dallojmë amenorrenë primare, atëherë kur fare nuk është paraqitur, dhe sekondare, kur menstruacionet në fillim kanë qenë të rregullta por më vonë janë çrregulluar apo kanë munguar fare. Amenorreja konsiderohet atëherë kur menstruacionet nuk paraqiten së paku 3 cikle. Femrën te e cila menstruacionet nuk janë paraqitur deri në moshën 16 vjeçare duhet dërguar te mjeku si dyshim në amenorrenë primare. Ciklet e rralla dhe jo të rregullta (oligomenorreja) janë mjaft të shpeshta në pubertetin e hershëm dhe nuk janë për tu shqetësuar. Po ashtu, gjakderdhja është e ndryshme, dikush gjakderdh më pak e dikush më shumë. Ndonjëherë gjakderdhja mund të mungojë fare, ndërsa në muajin e ardhshëm të jetë më e madhe, që me siguri është pasojë e mungesës së ovulimit në ciklin paraprak. Brengosëse është nëse ciklet zgjasin më pak se 21 ditë, dhe gjakderdhjet më gjatë se 8-10 ditë ose, ciklet dukshëm ndryshojnë gjatë disa muajve. Këto raste tregojnë një problem me ovulimin.
Cilët janë shkaktarët e menstruacioneve të çrregullta?
Shkaktarët e amenorresë (mungesa e menstruacioneve). Te adoleshentet nevojitet një kohë që ovulacioni të stabilizohet, e ndonjëherë gjakderdhjet edhe ndalen për disa muaj. Çdo herë që menstruacionet mungojnë, duhet vërtetuar a bëhet fjalë për shtatzëni apo jo, edhe pse secila situatë me stres, madje edhe brenga për shtatzëni, mund të ndikoj në mungesën e gjakderdhjes..
Sindromi i vezoreve policistike. Ky sindrom paraqitet të 6% e femrave dhe është rezultat i asaj që vezoret formojnë sasi të mëdha të androgjenëve (hormoneve mashkullore) sidomos testosteronit. Formimi i rritur i androgjenëve sjellë deri te koncentrimi i lartë i HL (hormonit luteinizues) dhe koncentrim të zvogluar HFS (hormonit folikulostimulues), prandaj folikulet nuk mund të prodhojnë vezë të pjekur. Kur folikulet nuk mund të prodhojnë veze, ato fryhen me lëng dhe shndërrohen në ciste.
Shkaktarët e tjerë. Terapia e karcinomës mund t’i shkatërrojë folikulet dhe çrregullon funksionin e vezoreve. Sindromi Turner është çrregullim i rrallë gjenetik te i cili mungon kromozomi x, prandaj nuk zhvillohen vezoret funksionale. Problemet me gjëndrën tiroide, qoftë si pasojë e prodhimit të rritur (hipertiroidizmi) apo të zvogëluar (hipotiroidizmi) mund ta ndërprejnë ciklin. Sindroma Cushing (çrregullim i gjëndrës mbiveshkore), poashtu mund të shkaktojë amenorrenë.
Dhembjet para mestruacioneve
Dismenorea është shprehje që paraqet dhimbjet shtrënguese gjatë kohës së ciklit menstrual. Kryesisht fjala është për dhimbjet në pjesën e poshtme të barkut dhe në kryqëza, duke filluar nga dhimbjet e lehta deri te dhembjet me intensitet më të madh, të cilave shpesh i bashkëngjitet dhimbja e kokës, vjellja dhe barkqitja.
Dallohet dismenorea primare te e cila shfaqet menstruacioni i parë dhe kryesisht ka karakter funksional nga dismenorea sekondare e cila shfaqet më vonë gjatë jetës dhe kryesisht është pasojë e ndonjë sëmundje tjetër në legen (pelvis), së shpeshti endometrioza. Shumë ekspert mendojnë që simptomat e dismenoresë janë shkak i shprehive kequshqyese dhe problemeve emocionale të përballueshme. Vlerësohet se afër 60% e grave vuajnë nga dhembjet mujore.
Pse paraqitet?
Në numrin më të madh të rasteve, kontraksionet e paraqitura janë të natyrës funksionale. Kjo nënkupton disa procese natyrore të cilat paralajmërohen kah fundi i ciklit menstrual në mitër, intensiteti i të cilit e tejkalohet rëndom. Për shkak të lodhjes së funksionit të trupit të verdhë dhe rënies fiziologjike të nivelit të hormoneve të trupit të verdhë nga fundi i ciklit menstrual, vjen deri te tkurrja e enëve të gjakut dhe iskemisë së mukozës së mitrës. Kjo është e përcjellë me lirimin e panumërt të sasisë së prostaglandineve të tipit alfa, bartësit kimik të porosive, të cilat shkaktojnë kontraksione të forta. Me fjalë te tjera kontrakcionet e mitrës paraqiten përmes vendeve ‘bashkëngjitëse’ në sipërfaqen e hollë të fijeve nervore vegjetative të cilat e mbështjellin dhe janë stimuluese në aspektin psikologjik dhe hormonal. Shkaktari tjetër i dhembjeve nënkupton sëmundjet organike, si shkaktar të paraqitjes së dhembjeve mujore. Shkaktarët më të shpeshtë organik janë endometrioza, polipi i mitrës, mioma, malformacionet e saja, disa rritje tumorale në pelvisin e vogël.
Simptoma fizike: dhimbje gjoksi, ndjesi fryrjeje, ënjtje të fytyrës, barkut dhe gishtërinjve, shtim në peshë, dhimbje koke, migrenë, ndryshime në oreks, akne dhe probleme të tjera me lëkurën, kapsllëk ose diarre, rigiditet muskulor ose të kockave, dhimbje të përgjithshme, sidomos në shpinë, dhimbje barku.
Simptoma psikologjike: luhatje të humorit dhe depresion, dëshirë për të qarë, lodhje, përgjumje, tension, irritim, vështirësi në përqendrim, ndryshime në dëshirat seksuale, shqetësime me gjumin, agresivitet, humbje e vetëkontrollit.
Dieta ushqimore dhe e përzgjedhur gjatë mestruacioneve
Arsyeja kryesore e dhimbjeve mund të jetë edhe mungesa e vitaminave, mineraleve dhe karbohidrateve, prandaj këshillohet që ushqimi te jetë sa më i përzgjedhur, këshillohet të përdoren këto ushqime:
– Përdorimi i sa më shumë karbohidrateve komplekse, gjenden kryesisht tek farërat e pasura me fibra si; thjerrëza, fasulja, fenugreek (hilba), mashurkat , turmus (Lupin), etj.
-Përdorimi i perimeve me gjethe jeshile si; spinaqi, sallatë jeshile, lakërishte (ëatercress), mëllagë, lakër, lule lakër. Këto perime është mirë që të konsumohen më shumë të paziera.
– Prodhimet e detit.
– Burimet e vitaminës E; vaji i ullirit, gruri, veza, patatja, lajthitë, etj.
Ushqimet që nuk duhen konsumuar gjatë mestruacioneve
– Rekomandohet mos konsumimi i pijeve dhe ushqimeve që përmbajnë kafeinë.
– Pakësimi i konsumimit të sheqerit të bardhë dhe ëmbëlsirat e shpejta.
– Pakësimi i kripës dhe ushqimet me shumë kripë në pergjithësi.
– Pakësimi i konsumimit të mishit të kuq.
Bimët që ndihmojnë në lehtësimin e dhimbjeve të menstruacioneve
– Majdanosi, selinoja, kokë lakra, sallata jeshile; këshillohet që të konsumohen një javë para menstruacioneve, sepse nxitin urinimin dhe pakëson mundësinë e fryrjes së këmbëve dhe fryrjen e gjoksit për arsye të bllokimit të ujrave në trup.
– Taraxacum ; kjo bimë ka vecori në pastrimin e ujrave të bllokuara në trup, gjethet e kësaj bime përdoren në sallatë ose si caj.
– Mendër, janball, kopër; gjethet e mendrës dhe farat e kopërit perzihen me ujin e zier të janballit dhe me pas pihet. Ky caj bimor lehtëson dhembjet.
– Sherebela; pihet çdo ditë 2-3 filxhanë caji, në mënyrë të favorshme ndikon në problemet femërore. Përmirëson tonusin e mitrës, ka efekt antikërpudhor, ndihmon tek rregullimi i menstruacioneve, vendos ekuilibrin hormonal dhe parandalon problemet e menopauzës.
Sherbela ndihmon edhe në punën e veshkave dhe parandalon formimin e edemave në to.
– Kamomili; kuron dhimbjet e barkut, pihet 1-2 filxhan çaji në ditë; mënyra e përgatitje: merret një lugë me kamomil dhe hidhet në një gotë me ujë të valuar më parë, lihet i mbuluar për 10 minuta dhe pihet 25-30 min para ose pas ngrënies, mund ta ëmbëltoni me mjalt.
– Vaji i farës së qimnonit; lyhet fundi i barkut dhe vagina.
– Çaji i mendrës qetësues i menstruacioneve, kundër vjelljes, dhembjes së stomakut, të mëlçisë, sëmundjeve të lëkurës, kundër tendosjeve psikike, streseve, kundër reumatizmit, kundër infeksioneve, etj.
– Lakërishtë (ëatercress) ndihmon në nxitjen e nxjerrjes së gjakut të keq, perzihet 2-3 lugë lakërishtë e zier me një gotë qumësht.
– Salepi; ruan mitrën nga hemorragjitë dhe e forcon atë. Mënyra e përdorimit është e njohur në vendin tonë; merren 1-2 lugë salep dhe përzihet me një gotë qumësht dhe më pas zihet në zjarr, ëmbëlsohet sipas dëshirës.
– Përzierja e disa çajrave bimorë, si; gjethet e bliut, mëllaga, lulet e zufës (Hyssop). Ky çaj duhet të pihet para menstruacioneve për rreth një javë.
* Çajrat është mirë të ëmbëltohen me mjalt, dhe të pihen 20- 30 min para ose pas ngrënies.
Preparate bimore për çrregullimet menstruale
– Lulebalsami (Hypericum perforatum), çaji i kësaj bime është rregullues i ciklit mujor, anti stresues, qetësues, kuron infeksionin e fshikësës së urinës, etj.
– Fenugreek, rregulluese e ciklit mujor, pihet para gjumit.
– Rozmarina, çaji i rozmarinës përdoret si caj cdo ditë për qetësimin e dhimbjeve, forcon zemrën, pastrues,etj.
– Alchemilla Vulgaris, kjo bimë shëron shumë prej sëmundjeve të grave, përdoret si caj.
Për Sekrecionet Vaginale
– Kamomili: përdoret lëngu i përfituar nga lulet e kamomilit për shpëlarje vaginale, në rastet e sekrecioneve të bardha ose me erë të keqe. Një lugë e madhe nga lulet e kamomilit me një litër ujë të nxehtë por jo të vluar, lihet për 5-10 minuta, pastaj filtrohet dhe përdoret.
– Lëkura e Ahut: 4 lugë të mëdha nga lëkura e bluar e ahut, shtohet në 1 litër ujë dhe lihet të vlojë për 15 minuta, pastaj përdoret i nxehtë për shpëlarje vaginale.
– Gjethet e Arrës, një dorë nga gjethet e arrës shtohen në 1 litër ujë të vluar, lihet për 10 minuta pastaj përdoret për shpëlarje.
********************
Infeksionet me te shpeshta te cilat barten me marrëdhënie seksuale te femrat janë:
Sëmundjet të cilat barten me marrëdhënie seksuale
Sëmundjet seksuale transmisive janë¬: HIV, vaginoza bakteriale, kandida, trihomona, herpesi gjenital, gonorea dhe sifilisi. Mënyra më e mirë e mbrojtjes nga sëmundjet transmisive seksuale është kondomi, çoftë për seks vaginal, oral apo anal.
Shpeshherë sekreti vaginal na tregon shumë. Femrat kanë një sasi të vogël të sekretit vaginal. Sekreti vaginal ndryshon nga sasia, konsistenca. Sasia e sekretit vaginal është më e shtuar në kohën e ovulacionit dhe disa ditë para menstruacioneve.
Gjithashtu sekreti mund te jetë shumë i shtuar te femrat të cilat marrin tableta kontraceptiv ose kanë të vendosur spiralen. Ndërsa zvogëlimi i dukshëm i sekretit vaginal paraqitet te femrat në menopauzë. Sekreti vaginal normal ka ngjyrë të bardhë, por bëhet i verdhë dhe me një erë shumë të lehtë kur ka kontakt me ajrin për arsye të intereakcionit kemikal të quajtur oksidimi.
Kur kemi të bëjmë me sëmundjet seksuale transmisive, sekreti vaginal ndryshon, bëhet më i trashë, ka erë dhe konsistenca ndryshon. Ka shumë produkte të ndryshme të cilat shiten për larje intime, por ato preparate nuk janë të nevojshme, sepse muri i vaginës është shumë i ndjeshëm dhe produkte të tilla shkaktojnë ndryshime dhe irritim.
Infeksionet më të shpeshta te cilat barten me marrëdhënie seksuale te femrat janë:
Vaginoza bakteriale
Vaginoza bakteriale është një ndër infeksionet më te shpeshta te femrat, infeksion i cili përcillet me sekret, me erë të rëndë peshku, dhimbje dhe djegie. Mund të bartet me marrëdhënie seksuale, por nuk është e domosdoshme.
Diagnostikimi bëhet me marrjen e strishos (sekretit) për ekzaminim laboratorik. Trajtohet me antibiotikë.
Partneri duhet të trajtohet nëse kjo përsëritet shpesh. Te shtatzënat ky infeksion mund të shkaktojë lindje parakohe, prandaj trajtimi është shumë i domosdoshëm.
Kandida
Ky lloj infeksioni nuk është infeksion strikt, i cili bartet me marrëdhënie seksuale. Paraqitet me kruarje, djegie dhe skuqje.
Zakonisht paraqitet te ato femra të cilat marrin tableta kontraceptive, antibiotikë ose asteroide, si dhe gjatë shtatzënisë; poashtu edhe te femrat me sëmundje te sheqerit.
Te meshkujt paraqitet me skuqje te organit gjenital, por shpesh nuk kanë simptoma. Trajtimi bëhet me antimikotikë (Canesten). Meshkujt trajtohen vetëm nëse kanë simptome.
Trihomona
Është infeksion që atakon të dy gjinitë, meshkujt dhe femrat, por simptomat me së shpeshti paraqiten te femrat. Simptomat e këtij infeksioni janë sekreti ngjyrë të verdhë ose të gjelbër me erë peshku, skuqje, djegieje e vaginës.
Ndonjëherë ky infeksion është asimtomatik, por zbulohet me Papa test. Shkaktohet nga paraziti i quajtur protozoa Trichomonas vaginalis. Infeksioni bartet me marrëdhënie seksuale. Është shumë i rrezikshëm te shtatzënat, sepse shkakton pëlcitje të parakohshme të cipave të lëngut amnial si dhe lindje para kohe. Diagnostifikimi bëhet me teste laboratorike të sekretit vaginal, ndërsa te meshkujt, lëng nga uretra. Shërimi i partnerit është i domosdoshëm edhe nëse nuk ka simptome. Trajtimi bëhet me antibiotikë zakonisht me dozë të vetme Mentronidazol (Flagyl).
Herpes Simplex Virusi
Infeksion i cili bartet me marrëdhënie seksuale. Femra kur ka virus të herpesit gjenital, zhvillohen lezione të ngjashme me herpes labial rreth vaginës dhe anusit, atëherë kur virusi është aktiv. Mund të paraqiten lezione të vetme apo grupe të cilat janë të dhimbshme dhe zgjasin disa javë. Herpesi shkaktohet nga virusi herpes simplex. Janë dy tipe të Herpesit 1 dhe 2. Zakonisht tipi 2 (HSV2) shkakton herpesin gjenital, ndërsa tipi 1 shkakton herpesin rreth gojës. Bartet me marrëdhënie seksuale të pa mbrojtur ose seks oral. Herpesi mund të bartet nga lëkura në lëkurë. Për diagnostikimin e këtij infeksion bëhet marrja e strishos nga lezioni për ekzaminim në laborator. Trajtimi bëhet me barin antiviral. psh Aciklovir (Zovirax). Meshkujt trajtohen nëse kanë ataqe të infeksionit, dmth., paraqitje të lezioneve, por kjo mund të përsëritet edhe pas shërimit. Te femrat sulmet e tilla paraqiten kur janë nën stres emocional dhe traumë.
Lythat gjenitale
Te ky lloj i infeksionit paraqiten lytha te vogla në vulvë, vaginë, anus ose cerviks (te meshkujt në penis). Ky infeksion paraqitet dy muaj apo me shumë pas marrëdhënies së pa mbrojtur. Shpeshherë mund të infektoheni nga ky virus, por nuk paraqiten lythat dhe nuk e dimë a jemi te infektuar nga ky virus apo jo. Lythat shkaktohen nga virusi i quajtur human papilloma virus (HPV).
Se paku ka 50 lloje të këtij virusi. Trajtimi i këtij infeksioni bëhet në disa mënyra. Mënyra më e thjesht është aplikimi i kremit të quajtur podphillin i cili duhet të aplikohet disa herë dhe duhet disa ditë të largohen krejtësisht.
Mënyra tjetër është ngrirja dhe djegia e lythave. Pas të gjitha trajtimeve, lythat mund të paraqiten përsëri.
Infeksioni me kllamidia
Klamidia është infeksion i cili bartet përmes kontaktit seksual, shkaktari i të cilit është bakteria Chlamydia trachomatis, e cila infekton vetëm qeniet njerëzore.
Si bartet klamidia?
Klamidia mund të bartet përmes seksit vaginal, anal ose oral si dhe mund të bartet nga nëna në foshnje.
Klamidia mund të bartet përmes seksit vaginal, anal ose oral si dhe mund të bartet nga nëna në foshnje.
Cilat janë simptomet e klamidias?
Ky njihet si infeksion “i heshtur” seksual. Ndodh që simptomet të mungojnë por kur paraqiten i ngjajnë atyre të gonoresë, prandaj ndodh shpesh që bëhen gabime gjatë diagnostifikimit të tij.

Ky njihet si infeksion “i heshtur” seksual. Ndodh që simptomet të mungojnë por kur paraqiten i ngjajnë atyre të gonoresë, prandaj ndodh shpesh që bëhen gabime gjatë diagnostifikimit të tij.
Klamidia tek femra lezbike dhe biseksuale
Vendi primar që preket nga infeksioni tek femrat është qafa e mitrës, pjesa që lidh vaginën me mitrën. Infeksioni i qafës së mitrës njihet si cervitis. Simptomet e Klamidias tek femrat mund të përfshijnë:
- Djegësim vaginal
- Sekret të shtuar vaginal
- Dhimbje gjatë marrëdhënieve seksuale
- Dhimbje në, ose sekrecion nga rektumi
- Dhimbje e pazakontë në pjesën e poshtme të abdomenit
- Dhimbje të rëndë pelvike nga infeksioni që është shtrirë nga qafa e mitrës në traktin e sipërm riprodhues.
- Gjakderdhje vaginale në mes të ciklit menstrual
Simptomet e Klamidias tek meshkujt gej dhe biseksual
Vendi primar që preket nga infeksioni tek meshkujt është uretra, tubi brenda penisit që bartë urinën dhe spermën. Infeksioni i uretrës njihet si uretrit. Simptomet e Klamidias tek meshkujt mund të përfshijnë:
Vendi primar që preket nga infeksioni tek meshkujt është uretra, tubi brenda penisit që bartë urinën dhe spermën. Infeksioni i uretrës njihet si uretrit. Simptomet e Klamidias tek meshkujt mund të përfshijnë:
- djegësim dhe dhimbje gjatë urinimit
- sekrecion nga uretra e penisit
- dhimbje në testikuj
- dhimbje në, ose sekrecion nga rektumi
- kruarje të pakëndshme përreth kokës së penisit
Shërimi
Shërimi i klamidias është shumë i thjeshtë duke përdorur antibiotikë siç është azitromicina ose doksiciklina. Për ata që janë të diagnostifikuar me klamidi rekomandohet që të përmbahen nga marrëdhëniet seksuale deri në shërim të plotë.
Diagnozën e përcakton vetëm mjeku specialist (gjinekologu), në bazë të testeve laboratorike me anë të mostrave që merren nga qafa e mitrës apo urina (tek femrat) dhe në bazë të testeve laboratorike për klamidian nga mostrat nga lëngjet trupore ose urina (tek meshkujt). Këshillohet që partneri/ja t’i bëjë analizat gjithashtu.
Ju nuk duhet të keni marrëdhënie seksuale së paku për një javë pasi ta keni përfunduar terapinë me antibiotikë. Do t’ju duhet të përmbaheni nga marrëdhëniet seksuale për një kohë më të gjatë nëse partneri/ja juaj nuk është shëruar, me qëllim që të mos infektoheni sërish. Nuk duhet të keni marrëdhënie derisa të zhduken simptomet e juaja.

Shërimi i klamidias është shumë i thjeshtë duke përdorur antibiotikë siç është azitromicina ose doksiciklina. Për ata që janë të diagnostifikuar me klamidi rekomandohet që të përmbahen nga marrëdhëniet seksuale deri në shërim të plotë.
Diagnozën e përcakton vetëm mjeku specialist (gjinekologu), në bazë të testeve laboratorike me anë të mostrave që merren nga qafa e mitrës apo urina (tek femrat) dhe në bazë të testeve laboratorike për klamidian nga mostrat nga lëngjet trupore ose urina (tek meshkujt). Këshillohet që partneri/ja t’i bëjë analizat gjithashtu.
Ju nuk duhet të keni marrëdhënie seksuale së paku për një javë pasi ta keni përfunduar terapinë me antibiotikë. Do t’ju duhet të përmbaheni nga marrëdhëniet seksuale për një kohë më të gjatë nëse partneri/ja juaj nuk është shëruar, me qëllim që të mos infektoheni sërish. Nuk duhet të keni marrëdhënie derisa të zhduken simptomet e juaja.
Komplikimet
Komplikimet nga mostrajtimi i klamidias zakonisht prekin femrat më shumë se meshkujt. Tek femrat, infeksioni i patrajtuar mund të përhapet në mitër ose tubat fallopiane dhe të shkaktojë sëmundje inflamatore të pelvikut që mund të shkaktojë dëmtim të përhershëm të tubave fallopiane, mitrës dhe indet rrethuese që si pasojë çojnë në dhimbje kronike të pelvikut, sterilitet dhe shtatëzëni ektopike (shtatëzënia jashtë mitrës).
Komplikimet e klamidias tek meshkujt nuk janë të zakonshme por mund të përfshijnë dhimbje, ethe dhe në rastet e rralla sterilitet. Komplikimet tek meshkujt janë të rralla. Infkesioni mund të përhapet tek epidimisi (tubi i cili bart spermën nga testikujt) duke shkaktuar dhimbje, ethe dhe rrallë, sterilitet.
Në rastet e rralla, infeksioni gjenital klamidial mund të shkaktojë dhe të shoqërohej me dëmtime të lëkurës dhe inflamacion të syve dhe uretrës (Sindromi Reiter).
Nëse nuk shërohet, infeksioni klamidial mund të çoj në probleme serioze riprodhuese dhe probleme tjera me pasoja afatshkurta ashtu edhe afatgjata. Si vetë sëmundja, dëmtimi që shkaktohet nga klamidia është shpesh “i heshtur”.
Parandalimi
Ekzistojnë disa mënyra dhe gjëra të cilat mund t’i bëni për të ulur rrezikun e marrjes së infeksionit të klamidias. Në vijim janë disa metoda të zakonshme për parandalimin e klamidias: të përmbaheni nga marrëdhëniet seksuale, të jeni besnik, të përdorni kondom, të testoheni (së paku një herë në vit), mësoni simptomet e klamidias, tregoni partnerit nëse jeni infektuar me klamidi.
Pra, Infeksioni me kllamidia është infeksion i cili nuk ka simptome të lehta apo fare nuk ka. Nëse ky infeksion nuk trajtohet mund të shkaktojë sëmundje inflamatore të pelvikut (PID) dhe infertilitet. Te disa femra shkakton sekret të shtuar, djegie gjatë urinimit, dhimbje në fund të barkut, temperaturë, dhimbje gjatë marrëdhënies seksuale si dhe gjakderdhje jo normale. Te meshkujt, shkakton simptome të cystitit, sekret nga organi gjenital i mashkullit, djegie gjatë urinimit, skuqje si dhe ënjtje e testisëve, por mund të mos kenë fare simptome.Shkaktohet nga bakteria e quajtur Chlamydia trachomatis. Bartja e infeksionit bëhet vetëm me rrugë seksuale. Ky infeksion bartet nga nëna e infektuar te foshnja gjatë lindjes vaginale. Bakteria chlamydia shkakton dy të tretat e infeksionit te pelviku (PID). Diagnostikimi bëhet me marrjen e strishos nga cerviksi te meshkujt, nga retra, si dhe bëhet analizë të gjakut dhe urinës.
Trajtimi bëhet me antibiotikë sa me shpejt që bëhet diagnostikimi dhe duhet të trajtohen të dy partnerët.
Gonorea
Shkaktohet nga bakteria Neisseria gonorrhoea. Afekton vaginen, cerviksin, uretren dhe rektumin. Është gjithashtu një ndër shkaktarët e shpeshtë të infeksionit të pelvikut.
Paraqitet me ndryshime në sekretin vaginal, me ngjyrë të bardhë në të verdhë, dhimbje në fund të barkut, djegie gjatë urinimit si dhe simptome të infeksionit rektal (zorrës së trashë), kruarje, skuqje, gjakderdhje dhe dhimbje të zorrës së trashë.
Te meshkujt, simptomat paraqiten dy deri në pesë ditë pas marrëdhënies së pambrojtur. Diagnostikimi bëhet me teste të ndryshme laboratorike.
Ky infeksion është gjithashtu shumë i rrezikshëm te shtatzënat. Trajtimi bëhet te të dy partnerët me doza të mëdha të antibiotikëve.
Sifilisi
Ky infeksion shkaktohet nga organizmat (shumë të afërt me bakterie) të vegjël të quajtur spirochaet-treponema pallidum. Koha e paraqitjes së simptomeve pas infektimit me sifilis është mesatarja 21 ditë. Infeksioni lokalizohet në hyrje të vaginës dhe retrës, me paraqitjen e ulcerave të vogla të quajtura chancre. Simtomat janë të shumta dhe është shumë vështirë të diagnostikohet nëse nuk bëhet testi serologjik. Shërimi i sifilisit bëhet sipas trajtimit më të vjetër dhe ende shumë efektiv me antibiotikë-penicilinë. Në rast të mostrajtimit te sifilisit mund të dëmtojë zemrën, aortën, trurin, sytë dhe eshtrat.
*********************
Çka është Sifilisi?
Çka është sifilisi?
Sifilisi është një lloj i sëmundjes seksualisht të transmetueshme. Kjo vjen si rezultat i infeksionit bakterial të traktit gjenital me bakterie të quajtur Treponema pallidum.
Si bartet sifilisi?
Sifilisi shpesh bartet përmes kontaktit të drejtpërdrejt me plagën e shkaktuar nga sifilisi, gjatë seksit vaginal, anal apo oral. Këto plagë kryesisht shfaqen në gjenitalet e jashtme, vaginë, anus ose në rektum. Plagët mund të shfaqen gjithashtu në buzë dhe në gojë. Gjithashtu sifilisi mund të bartet nga femra shtatzënë e cila është e infektuar në foshnjën e saj. Bakteria e sifilisit (treponema pallidum) është e brishtë. Prandaj, sifilisi nuk mund të bartet përmes përdorimit të tualetit, pishinave, vaskave, veshjeve të përbashkëta ose të përdorimit të enëve ose mjeteve të njëjta të ngrënit.
Cilat janë simptomet e sifilisit?
Sifilisi ka disa stade. Simptomet dallojnë në secilën fazë, por shpesh nuk ka simptome, edhe pse mund të ndodhin dëme serioze.
Stadi parësor:
Plagët e hapura pa dhimbje, shpesh shfaqen gjatë 3 javësh deri në 3 muaj pas infeksionit. Plaga e hapur mund të shfaqet kudo në trup. Vendet më të shpeshta ku shfaqen këto është penisi tek meshkujt, afër hapjes vaginale tek femrat ose në anus dhe rektum. Pas një kohe, plagët shfaqen në buzë ose në gojë. Zmadhimi i gjëndrave mund të shfaqet afër plagës; për shembull, nëse plaga është paraqitur në penis ose afër vaginës, gjëndra në ije rritet. Të dyja si plagët dhe gjëndrat e zmadhuara shpesh zgjasin 3 deri në 6 javë dhe pastaj zhduken. Por infeksioni nuk zhduket; ai vazhdon në stadin dytësor;
Stadi dytësor:
Simptomet në stadin dytësor zakonisht shfaqen gjatë 2-3 muajve pas marrjes së infeksionit. Ndonjëherë ato përputhen me sifilisin parësor por ndonjëherë simptomet vazhdojnë deri në 6 muaj. Simptomi më i zakonshëm janë puçrrat në lëkurë që mund të shfaqen kudo në trup dhe shpesh – jo si puçrrat e tjera të lëkurës – përfshijnë shuplakat e duarve dhe plagët në shputat e këmbëve. Puçrrat zakonisht nuk shkaktojnë kruarje. Simptomet e tjera të zakonshme janë gjëndrat e zmadhuara në pjesët e ndryshme të trupit, ethet, lodhje, humbja e flokëve, humbja e peshës dhe kokëdhimbjet. Simptomet janë si ato që paraqiten tek problemet e tjera shëndetësore, prandaj sifilisi ndryshe quhet “imitator i mirë”. Simptomet e sifilisit dytësor zakonisht zgjasin nga 1 deri 3 muaj por ndonjëherë edhe më gjatë dhe pas një kohe simptomet shfaqen dhe largohen gjatë një ose dy viteve. Por edhe pas zhdukjes së simptomave të sifilisit dytësor, infeksioni vazhdon;
Latent:
Sifilisi latent nuk shkakton simptome. Infeksioni mund të zbulohet vetëm përmes analizave të gjakut. Nëse nuk trajtohet, sifilisi latent vazhdon gjatë tërë jetës. Shumë nga këto infeksione kurrë nuk shkaktojnë probleme serioze por shpesh sëmundja përparon deri tek stadi përfundimtar, i quajtur sifilisi terciar.
Terciar (i vonshëm): Rreth një e treta e njerëzve të patrajtuar nga sëmundja e sifilisit kanë dëme serioze në organet e ndryshme dhe sistemet trupore. Sifilisi terciar mund të shfaqet gjatë çdo kohe nga një vit deri në 50 vite pas marrjes së infeksionit; në shumicës e rasteve shfaqet brenda 20 viteve. Truri, zemra, mëlqia dhe eshtrat janë organet më të zakonshme që preken nga kjo sëmundje. Sifilisi terciar mund të shkaktojë paralizë, problemet mendore, verbim, shurdhim, infarkt në zemër dhe vdekje.
Sifilisi tek femrat lezbike dhe biseksuale
Lezbikët dhe femrat biseksuale nuk janë imune ndaj infeksioneve seksualisht të transmetueshme, prandaj ato duhet të testohen për këto sëmundje. Sifilisi është shumë infektues dhe mund ta bartë kontakti i ngushtë me lëkurë gjatë seksit ose ndarja e lodrave seksuale mund ta bartë atë. Simptomet nuk shfaqen gjithmonë por mund të përfshijnë plagët e hapura në vaginë, anus ose fyt. Gjithashtu mund të keni skuqje me puçrra në trup ose simptomet e ftohjes. Çfarëdo kontakti siç është seksi oral ose përdorimi i dorës së njëjtë me të cilën e keni prekur veten dhe pastaj partnerin e juaj mund të shkaktojë rrezik. Dy femra që janë të dyja me menstruacionet janë në një rrezik më të lartë.
Sifilisi tek meshkujt gej dhe biseksual
Pas disa viteve të fundit, ka pasur një rritje drastike të numrit të rasteve të reja me sifilis tek meshkujt që kanë marrëdhënie seksuale me meshkuj, në qytetet dhe vendet e ndryshme. Kjo lidhej pjesërisht me meshkujt gej që gjejnë partneret e tyre seksuale përmes internetit. Studimi i bërë në San Francisko tregon se 23 përqind të meshkujve me rastet e reja të sifilisit raportuan se kanë përdorur internetin për të gjetur partnerë seksual.
Shërimi
Komplikimet
Nëse mbetet i patrajtuar, sifilisi mund të përhapet në të gjitha pjesët e trupit. Ka gjasa që sifilisi ta prek zemrën, sytë, trurin, sistemin nervor, eshtrat dhe nyjet. Sifilisi mund të shkaktojë sëmundje mendore, verbim, problemet neurologjike, sëmundjet e zemrës dhe vdekje,
Një sëmundje e cila shkaktohet nga sifilisi është neurosifilisi. Kur bakteria e cila shkakton sifilisin sulmon sistemin nervor, tek njerëzit e infektuar mund të zhvillohet neurosifilisi. Disa persona me neurosifilis mund mos të kenë komplikime. Por shumica kanë. Disa nga komplikimet përshfijnë kokëdhimbjet, qafë të ngrirë, ethe, sulme dhe simptomat e tjera të përafërta me sulm në tru (mpirja, dobësi, probleme me shikim). Mund të kalojnë deri 20 vite që të zhvillohet neurosifilisi që nga infeksioni.
Parandalimi
E vetmja mënyrë e sigurt për ta parandaluar sifilisin është që të keni marrëdhënie reciproke monogame me një partner i cili nuk është i infektuar, të përdorni kondom pasi që ata mund ta zvogëlojnë rrezikun e kontraktimit të sëmundjes, por vetëm nëse kondomi mbulon plagët e sifilisit, të mos përdorni alkool dhe droga tjera të cilat mund ta mjegullojnë gjykimin e juaj dhe t’ju çoj të hyni në marrëdhënie të pasigurta seksuale, të flisni me mjekun dhe partnerin (ët) e juaj seksual dhe të testoheni.
Mund të themi se pothuajse çdo femre i është dashur të përballet me cistet, të paktën një herë në jetë, një shqetësim që prek kryesisht femrat nga mosha 20 deri në 40 vjeçe. Cisti është cilësuar një shqetësim tipik femëror për arsye anatomike (te gruaja uretra është më e shkurtër sesa te burri dhe kjo e lehtëson daljen e mikrobeve që jetojnë në zorrë dhe në zonën vaginale) dhe hormonale (vajzat që nuk kanë menstruacione janë më të prirura të preken nga infeksionet e veshkave). Ndryshe nga infeksionet e tjera është e thjeshtë të ekzaminohet, sepse simptomat janë precize dhe të njëjta për të gjitha femrat: dhimbje kur urinojnë, duket sikur u rëndon diçka në pjesën fundore të barkut dhe dhembje trupi. Ndonjëherë urina mund të përmbajë ndonjë pikë gjak dhe nevoja për të dalë në banjë mund të jetë e papritur dhe shumë e shpeshtë. Pra, janë të gjitha shqetësime, që i detyrohen një infeksioni të veshkave shkaktuar nga disa baktere, të cilat jetojnë në brendësi të trupit të njeriut, pa dhënë probleme, por që kur prekin veshkat i pezmatojnë. Kur një femër ndien dhimbje të forta në fund të barkut, gjëja e parë që duhet të bëjë, është t‘i drejtohet doktorit personal, i cili më pas e këshillon të kryejë disa lloje analizash. Natyrisht që analiza më e rëndësishme është urinokultura, e cila shërben për të kuptuar se çfarë ka shkaktuar infeksioni dhe cilat ilaçe antibakteriale duhen përdorur për të luftuar infeksionin. Në rast se simptomat ripërsëriten do të jetë e nevojshme t‘i nënshtroheni një ekografie të aparatit urinar ose një urografie për të kuptuar nëse zanafilla e problemit duhet të kërkohet te një shkaktar tjetër, si pielonefriti, një infeksion që prek pjesën e sipërme të aparatit urinar.
Ç’janë kistet?
Cistet në vezore janë të mbushura me lëng apo përmbajtje gjysmë të lëngshme që krijohen në vezore. Numri i diagnozave të cisteve është rritur me zgjerimin e përdorimit të kontrolleve fizikale dhe ultrazërit. çdo muaj, vezoret normale krijojnë ciste të vogla që quhen gjëndra Graf, nga të cilat njëra në mesin e cikleve është dominues dhe arrin madhësinë deri në 2.4 cm dhe nga ai lëshohen qeliza të pjekura vezore gjatë evoluimit. Kur gjëndra shpërthen bëhet një trup i verdhë, i cili është i madhësisë prek 1.2 deri në 2 cm kur është e pjekur dhe ka mes ciste. Nëse nuk ndodh pllenimi, ajo zvogëlohet dhe zhduket, ndërsa në rast të pllenimit së pari rritet dhe pastaj zvogëlohet gjatë shtatzënësisë.
Llojet
Cistet në vezore krijohen në procesin e evoluimit dhe quhen ciste funksionale, sepse gjenden në kuadër të funksionit të vezoreve, ndërsa ndahen në ato gjëndra dhe luteale. Cistet funksionale të shumëfishta krijohen si rezultat i rritjes së stimulimit hormonal apo ndjeshmërisë së tepërt. P.sh paraqiten gjatë procesit të kurimit të jopjellorisë kur vezoret stimulohen me ilaçe të caktuara. Kështu, nëse nuk rregullohet doza e duhur dhe vjen deri te stimulimi i tepërt, atëherë krijohet ciste.
Faktorët
Por cilët janë faktorët që mund të shkaktojnë një sulm cistit akut? Faktorët janë të ndryshëm, por kur ato identifikohen ndihmojnë për të mos pasur të rinj. Marrëdhëniet seksuale, për shembull, mund të shkaktojnë të ashtuquajturin “cistitin e muajit të mjaltit”. Kryesisht ato që preken janë femrat me një aktivitet seksual intensiv (të paktën tri marrëdhënie në javë). Ndonjëherë bakteret e zorrëve mund të jenë të pranishme në zonën gjenitale dhe gjatë një marrëdhënieje mund të infektojnë rrugët urinare. Për të shmangur këtë të keqe, është mirë që pas çdo takimi të zjarrtë të bëni urinën. Edhe femrat që vuajnë nga kapsllëku kronik, preken më shpejt nga infeksioni i rrugëve urinare. Kështu, bakteret e pranishme për një kohë të gjatë në zorrë, mund të shkaktojnë djegie dhe inflamacion në rrugët urinare. Në këtë rast duhet të konsumoni sa më shumë fruta, zarzavate dhe ushqime integrale. Por shfaqja e cisteve mund të varet edhe nga faktorë të tjerë, më të zakonshmet janë ekspozimi ndaj të ftohtit, stresi, çrregullimet menstruale, alergjitë, mosushqyerja, si dhe shqetësimet psikosomatike. Pra, në rast cistiti, por edhe higjienë dietetike korrekte është shumë e rëndësishme të konsumoni 1,5 litra ujë në ditë.
Higjiena
Një rol shumë të rëndësishëm luan edhe higjiena intime. Duhet të shmangni medoemos, kur përdorni letër higjienike, kalimin nga zona anale në atë gjenitale për të mos transportuar baktere. Gjithashtu, nuk duhet të vishni mbathje të ngushta dhe sintetike. Lahuni shumë herë në ditë, por mos përdorni detergjentë intimë, sepse këto të fundit mund ta ndryshojnë pehazhin dhe ulin mbrojtjen e organizmit. Edhe gjaku i menstruacioneve është terren pjellor për shumimin e baktereve. Në këtë rast, këshilla e duhur është të ndërroheni çdo dy orë, edhe nëse nuk keni shumë fluks. Një tjetër faktor për krijimin e cisteve është edhe fillimi i menopauzës.
Grupmoshat e rrezikuara
Cilat mosha janë më të rrezikuara? Më të rrezikuara janë ato mosha ku mbrojtësit natyrorë janë të ulët dhe lehtësisht të prekshëm nga sulmi dhe virulenca e mikrobeve. Për shembull te vajzat e vogla mungojnë ende mbrojtësit e epitelit të sipërfaqes së vaginës dhe veshkave. Te moshat e rritura, infeksionet vaginale luajnë një rol shumë të rëndësishëm, sidomos kur një femër ka shumë partnerë dhe kryen marrëdhënie seksuale të pambrojtura. Dhe në fund në menopauzë (ashtu siç u ndodh vajzave të vogla). Te gratë në menopauzë mungojnë sërish mbrojtësit e epitelit të sipërfaqes së vaginës dhe veshkave, kështu që bakteret mund të jenë të pranishme në pjesën e poshtme të organit gjenital.
Cistet në vezore, cilat prej tyre janë të rrezikshme dhe cilat jo
Cistet në vezore krijohen në procesin e evoluimit dhe quhen ciste funksionale, sepse gjenden në kuadër të funksionit të vezoreve. Cistet në vezore shpesh shkaktojnë panik të madh nga frika për tumor, edhe pse shumica prej tyre janë plotësisht të parrezikshme. Cistet mund të paraqiten në cilëndo moshë, por më së shpeshti janë në periudhën e riprodhimit dhe janë të rralla pas menopauzës. Cistet në vezore paraqiten gati tek të gjitha femrat në periudhën e riprodhimit. Shumica e këtyre cisteve janë funksionale dhe të parrezikshme. Cistet në vezore janë të mbushura me lëng apo përmbajtje gjysmë të lëngshme që krijohen në vezore. Numri i diagnozave të cisteve është rritur me zgjerimin e përdorimit të kontrolleve fizikale dhe ultrazërit. Çdo muaj, vezoret normale krijojnë ciste të vogla që quhen gjëndra Graf, nga të cilat njëra në mesin e cikleve është dominues dhe arrin madhësinë deri në 2.4 cm dhe nga ai lëshohen qeliza të pjekura vezore gjatë evoluimit. Kur gjëndra shpërthen bëhet një trup i verdhë, i cili është i madhësisë prek 1.2 deri në 2 cm kur është e pjekur dhe ka mes ciste. Nëse nuk ndodh pllenimi, ajo zvogëlohet dhe zhduket, ndërsa në rast të pllenimit së pari rritet dhe pastaj zvogëlohet gjatë shtatzënësisë. Cistet në vezore krijohen në procesin e evoluimit dhe quhen ciste funksionale, sepse gjenden në kuadër të funksionit të vezoreve, ndërsa ndahen në ato gjëndra dhe luteale. Cistet funksionale të shumëfishta krijohen si rezultat i rritjes së stimulimit hormonal apo ndjeshmërisë së tepërt. Për shembull paraqiten gjatë procesit të kurimit të jo-pjellorisë kur vezoret stimulohen me ilaçe të caktuara. Kështu, nëse nuk rregullohet doza e duhur dhe vjen deri te stimulimi i tepërt, atëherë krijohet ciste.
Dallimi
Pasojat
Problemi kryesor te gratë me sindromën e vezoreve policistike është shtimi i peshës. Këtyre pacienteve u propozohet që të zvogëlojnë peshën trupore, gjë e cila sjell edhe shumë ndryshime të tjera pozitive. Zvogëlimi i peshës trupore vetëm për 5 për qind, mundet që sërish të rivendosë funksionin e vezoreve gjerësisht ciklet menstruale të shoqëruara me ovulacion. Pesha trupore normale në të njëjtën kohë do të thotë edhe më pak probleme me rritje të kolesterolit, lipideve dhe insulinës. Së bashku me humbjen e peshës, me rëndësi është edhe aktiviteti fizik, mospirja e duhanit, alkoolit, dhe në përgjithësi regjim i rregullt jetese. Në kuadër të mjekimit të sterilitetit (shterpësisë), problemi kryesor janë ciklet anovulatore. Për këtë qëllim duhet të bëhet stimulimi i ovulacionit, shpesh i shoqëruar me frenim të aktivitetit të hipofizës dhe marrëdhënie seksuale në kohë të caktuar. Shtatzënia ka ndikim shumë pozitiv në sindromën e vezoreve policistike. Problemet e tjera që lidhën me anovulacionin janë gjakderdhjet e çrregullta menstruale, vonesa e menstruacioneve (amenorreja), e cila mund të mjekohet me dhënien e terapisë me gestagjene ose kontraceptivë oralë dhe niveli i lartë i testosteronit, i cili mjekohet me dhënien e barnave antiandrogjenik. Për këtë qëllim në rend të parë aplikohet bari ciproteronacetat (ose Diane 3 5; Androcur), i cili përshkruhet në bazë të skemave të caktuara gjerësisht, skema e kundërt e Kauffmann-it ose skema sipas Hammerstein-it. Përveç këtyre barnave edhe pse me një përqindje më të vogël të inhibimit të receptorëve androgjenik, mund të përdorët klormadinonacetati (Belara, Neo-Eunomin) dhe dienogest (Valette). Nëse shfaqen probleme të theksuara metabolike si rezistenca periferike në insulinë dhe hiperinsulinemia që është edhe shkak i problemit me kolesterol dhe lipide si dhe një varg problemesh të tjera metabolike dhe endokrinologjike që së bashku çojnë drejt shfaqjes së sëmundjes së sheqerit e cila haset në rreth 80″90 për qind të rasteve me sindromën e vezoreve polikistike të pamjekuara, përdoret metoformina (Glucophage). Sindromi i vezoreve policistike mund të trajtohet edhe me rrugë kirurgjike (laparoskopi ose laparotomi), e njohur si resekcioni i vezoreve në formë pyke, qëllimi kryesor i së cilës është të zvogëlohet vëllimi i vezoreve të rritur dhe në këtë mënyrë edhe uljen e prodhimit të shtuar të hormoneve seksuale mashkullore.
Çfarë është sindroma e vezoreve policistike
Sindroma e vezoreve policistike (PCOS) përfshin një varg simptomash, fillimisht me një ndryshim të ndërtimit të vezoreve të cilat gjatë vizitës ultrasonografike japin një ndërtim karakteristik, madhësia e të cilave ndryshon nga madhësia normale e deri në shumë të rritur. Nën kapsulën e vezoreve shfaqen një varg folikulash të vogla, që i japin pamjen e qafores me rruaza me madhësi maksimale deri në 7-8 mm. Kjo sindromë është përshkruar në vitin 1905, nga ana e Stein-it dhe Leventhal-it si një grumbull simptomash: amenore (mungesë e menstruacioneve), shtim i peshës- majmëri dhe vezore policistike. Sindroma e vezoreve policistike shfaqet në rreth 3 për qind të adoleshenteve dhe femrave të rritura. Mund të paraqitet që nga menstruacioni i parë. Shpesh diagnostikohet te femrat e reja, fillimisht për shkak të cikleve menstruale të parregullta gjatë pubertetit, që bëhen shkak për paraqitjen e hiperandrogjenemisë (shtim i nivelit të hormoneve seksuale mashkullore”androgjeneve), në moshën para pubertetit. Niveli i ngritur i testosteronit vepron në gjëndrat dhjamore duke shkaktuar shfaqjen e seboresë (krunde në flokë) puçrrave-akne sidomos në fytyrë. Testosteroni, me veprimin në folikulën e qimeve, nxit shfaqjen e qimeve (hiruzitizëm) të tipit mashkullor, ndërsa qimet e kokës hollohen, dobësohen dhe fillojnë e bien duke imituar rënie të flokut të tipit mashkullor (tullac).
Cistet në të shumtën e rasteve janë të parrezikshme
Cistet në vezore krijohen në procesin e evoluimit dhe quhen ciste funksionale, sepse gjenden në kuadër të funksionit të vezoreve, ndërsa ndahen në ato gjëndra dhe luteale. Cistet në vezore shpesh shkaktojnë panik të madh nga frika për tumor, edhe pse shumica prej tyre janë plotësisht të parrezikshme. Cistet mund të paraqiten në cilëndo moshë, por më së shpeshti janë në periudhën e riprodhimit dhe janë të rralla pas menopauzës. Cistet në vezore paraqiten gati tek të gjitha femrat në periudhën e riprodhimit. Shumica e këtyre cisteve janë funksionale dhe të parrezikshme.
Simptomat
Simptomat tek cistet e parrezikshme janë kryesisht të njëjta. Paraqitet dhimbje në stomak dhe ndjejnë e pakëndshme e presionit në zorrën e trashë, apo fshikëz. Po ashtu, paraqitet edhe çrregullimi i ciklit menstrual, si dhe ndjenja e fryrjes dhe çrregullime në tretje.
Diagnoza
Së pari bëhet ultrazëri, i cili tregon karakteristikat morfologjike të cistes. Cistet e thjeshta kanë një gropë dhe një muri të hollë përreth saj dhe tek ato ka shumë pak gjasa që të jenë të rrezikshme. Cistet komplekse kanë disa pjesë, trashja e murit, ndarje dhe çrregullim në përmbajtjen e cistes. Tek këto ekziston dyshimi për tumore të rrezikshëm. Pas kontrollit të parë, mundeni lirisht të bëni ultrazërin trans-vagjinal, i cili në detaje tregon strukturën e mitrës, ndërsa ultrazëri trans-vagjinal është zgjidhje edhe më e mirë, sepse tregon masa të mëdha dhe mundëson kontrollin e strukturë në gropën e stomakut (veshkat, mëlçinë, lëngjet e lira).
Kurimi
Kurimi tek cistet e thjeshta nuk është i nevojshëm. Tek paraqitja e cistes tek femrat që janë në menopauzë është e nevojshme të bëhet CA125 (tumor-shënuesi për mitër dhe vezorë). Natyrisht, kurimi kryhet sipas shkaktarit. Cistet që janë paraqitur qysh moti dhe pas gjashtë muajsh terapie ende qëndrojnë, ndërsa janë më të mëdha se 5 deri 10 centimetra, duhet të hiqen në mënyrë kirurgjike. E njëjta vlen edhe për cistet komplekse. Operimet kryhen me metodë kirurgjike laparaskopike dhe klasike.
Shtatzënia
Gjatë shtatzënësisë, për shkak të kontrolleve të ultrazërit, cistet në vezore shpesh vërehen. Kurimi i cisteve tek shtatzënat është e njëjtë tek të gjitha femrat: ciste e parrezikshme, vetëm përcillen dhe kryesisht tërhiqen në mënyrë spontane. Cistet e tjera që janë aty më shumë se gjashtë muaj dhe janë të madhësisë mes 5 dhe 10 centimetra, apo ato që janë shenja të dyshimta se janë të rrezikshme, duhet të hiqen në mënyrë kirurgjikale. Me rastin e heqjes së cisteve, fëmija nuk është në kurrfarë rreziku.
Pyetjet më të shpeshta mbi kancerin e qafës së mitrës
Çfarë është kanceri i qafës së mitrës?
Kanceri i qafës së mitrës është një tumor që formohet në qafen e mitrës. Qafa e mitrës ndodhet në fundin e mitrës dhe lidh atë me vaginen. Kanceri i qafës së mitrës ndodh kur qelizat e qafës së mitrës fillojnë të rriten në mënyrë jo normale dhe të pakontrolluar.
Sa i shpeshtë është kanceri i qafës së mitrës?
Kanceri i qafës së mitrës është një nga kanceret më të shpeshta tek femrat dhe takohet sidomos tek femrat rreth moshës 40 vjec. Kanceri i qafës së mitrës është i dyti pas kancerit të gjirit, por ka një vdekshmëri më të lartë. Në pjesën më të madhe të rasteve, kanceri i qafës së mitrës kapet në faza shumë të avancuara. Çdo vit rreth 500000 gra në botë preken nga kanceri i qafës së mitrës dhe gjysma e tyre vdesin nga kjo sëmundje. Në botë çdo 2 min një grua vdes nga kanceri i qafës së mitrës. Në Evropë çdo 18 min një grua vdes nga kanceri i qafës së mitrës.
Në Shqipëri kanceri i qafës së mitrës është kanceri që haset më shpesh tek femrat pas kancerit të gjirit. Në Shqipëri rastet me kancer të qafës së mitrës kanë ardhur duke u rritur, ndërsa vdekshmëria prej tij është dyfishuar.
Cili është shkaktari kryesor i kancerit të qafës së mitrës?
Shkaktari kryesor i kancerit të qafës së mitrës është Virusi i papilomes njerëzore ose HPV. Ka më shumë se 100 tipe virusesh të HPV, por një pjesë prej tyre janë viruse me rrezikshmëri të lartë dhe shkaktarë të kancerit të qafës së mitrës. HPV është një virus që mbetet i fshehur në organizëm pa dhënë asnjë shenje sëmundjeje. HPV përhapet nëpërmjet kontakteve seksuale. Infeksioni nga HPV është më i zakonshëm në grupmoshat e reja të cilat janë seksualisht aktive.
Sa kohë do kanceri i qafës së mitrës të zhvillohet?
Nga momenti i shfaqjes së qelizave jo normale në qafën e mitrës deri në shfaqjen e plotë të kancerit në qafen e mitrës duhen shumë vjet, rreth 10 vjet deri në 20 vjet. Fatmirësisht koha e gjatë e zhvillimit të këtij kanceri i jep mundësi çdo femre ta kapi në kohë atë, nëse kontrollohet rregullisht.
Cilat femra rrezikohen prej kancerit të qafës së mitrës?
Çdo grua mund të preket nga kanceri i qafës së mitrës.
Por një femër është më e rrezikuar për t’u prekur nëse:
*Ka filluar herët aktivitetin seksual.
*Ka partnere seksual të shumtë.
*Ka partnere të cilët kanë pasur shumë partnerë seksualë.
*Ka një infeksion nga virusi i papilomes njerëzore-HPV.
*Nëna, motra apo gjyshja e tyre ka pasur kancer të qafës së mitrës.
*Ka apo ka pasur një infeksion seksualisht të transmetueshëm përfshi HIV/AIDS.
*Pi duhan.
*Ka pasur shtatzëni të shumta.
*Ka imunitet të ulët.
Si mund të mbroheni nga kanceri i qafës se mitrës?
Rreziku në qafën e mitrës zvogëlohet nëse ju:
*Vaksinoheni me vaksinën kundër virusit HPV që shkakton kancerin e mitrës.
*Bëni rregullisht PAP TESTIN.
Të dyja së bashku ju mbrojnë nga kanceri i qafës së mitrës.
Ç’duhet bërë nëse rezultati i testit është jo normal?
Nëse PAP Testi tregon një dyshim apo një gjendje jo normale, mjeku do t’u kërkojë të përsërisni testin pas 6 muajsh apo do t’u kërkojë të kryeni një ekzaminim të quajtur kolposkopi. Gjatë saj shikohet nga afër qafa e mitrës, nëpërmjet një instrumenti që vepron si mikroskop por që quhet kolposkop. Gjithashtu mjeku mund të marrë një material të vogël nga indet e qafës së mitrës për t’i ekzaminuar në laborator. Kjo procedurë quhet BIOPSI. Biopsia është e vetmja mënyrë e sigurt për të përcaktuar nëse qelizat jo normale kanë lidhje me kancerin.
******
Kanceri i gjirit
Kanceri i gjirit është një tumor malinj që zhvillohet nga qelizat e gjirit, dhe është një prej kancerëve më të shpeshtë që prek femrat. Kërkime të fundit vënë gisht mbi shumë faktorë të ndryshëm që mund ta shkaktojnë këtë.
Minimizimi i rrezikut
Faktorët rrezikues janë listuar si më poshtë, nisur nga rëndësia e tyre:
Në bazë të studimeve, sëmundja e shekullit është gjenetike dhe ka lidhje familjare. Shmangia e dhënies gji, lejon rritjen e disa qelizave jo normale. Këshillohet ushqyerja e foshnjës për një periudhë të shkurtër, të paktën gjashtëmujore. Gjëja më e mirë do të ishte nëse do t‘i jepnit gji fëmijës 9-10 muajt e parë. Mungesa e aktivitetit të rregullt seksual.
-Abortet.
-Stresi kronik.
-Injektimet në gji.
-Qëndrim i tejzgjatur në diell.
Mënyra jo e shëndetshëm e jetesës (obeziteti, pirja e duhanit dhe abuzimi me pijet alkoolike).
Gjithsesi, nuk duhet të shqetësoheni, edhe nëse zbuloni se jeni një kandidat me rrezik të madh. Ashtu si shumë sëmundje të tjera, ju mund të minimizoni rrezikun e kancerit në gji, duke marrë masa parandaluese në kohën e duhur:
Masat parandaluese
1. Bëni vizita mjekësore sa herë ndjeni shqetësime, por edhe kur e ndjeni veten mirë. Bëni një jetë të shëndetshme, bini në peshë nëse jeni mbipeshë.
2. Përpiquni të minimizoni stresin. Mundohuni të keni një aktivitet seksual të rregullt.
3. Ushqehuni duke ndjekur një dietë të caktuar. Hani ushqime që janë të pasura me vitaminë A, E dhe C, p.sh., karota, spinaq, kajsi dhe agrume. Është mirë që ato t‘i bëni pjesë të pandashme të dietës suaj ditore.
4. Nguliteni në mendje se lindja e fëmijës dhe ushqimi me gji janë shumë të rëndësishme për shëndetin e gjirit tuaj.
Mundohuni t‘i ndiqni të gjitha rekomandimet e mësipërme, por sërish ju jeni të ekspozuar nga rreziku i prekjes së kësaj sëmundjeje, ky është një nga disavantazhet e të qenit femër.
************************
Sëmundjet e zemrës janë vrasëset më të mëdha të femrave
Sëmundjet e zemrës nuk prekin vetëm meshkujt, por janë vrasëset më të mëdha të femrave në SHBA.
Afërsisht 40% të të gjitha femrave që vdesin kanë si shkaktar të vdekjes sulmet në zemër ose sëmundjet e zemrës.
“Në këtë mënyrë vdesin më shumë gra sesa numri i grave që vdesin nga të gjitha llojet e kancerit të marra së bashku”, thuhet në një botim të Institutit Kombëtar të Shëndetit në SHBA.
Me gjithë përpjekjet për të edukuar femrat në lidhje me rrezikun nga këto sëmundje, 45% e grave amerikane nuk e dinë se rreziqet më të mëdha për shëndetin e tyre vijnë nga sëmundjet e zemrës dhe sulmet e zemrës.
Disa fakte tronditëse:
-13% e grave amerikane i shohin sëmundjet e zemrës (por jo sulmet e zemrës) si një rrezik për shëndetin.
-Sëmundjet kardiovaskulare vrasin afërsisht gjysmë milioni gra në vit në SHBA.
-Një amerikane në minutë vdes nga sëmundjet kardiovaskulare.
Afërsisht një e treta e të gjitha femrave dhe e meshkujve moshërritur në SHBA vuajnë nga ndonjë formë e sëmundjeve kardiovaskulare.
Sëmundjet kardiovaskulare marrin jetën e një banori ose banoreje të SHBA-së çdo 35 sekonda.
Më shumë gra amerikane mbi moshën 25-vjeçare vdesin nga sëmundjet koronare të zemrës sesa nga çdo sëmundje tjetër.
64% e të gjitha grave amerikane që kanë vdekur befasisht nga sëmundje koronare të zemrës, kanë vdekur pa pasur simptoma të mëhershme.
Ndërkohë që numri i grave amerikane që vdesin nga kanceri është 1 në 30, numri i atyre që vdesin nga sëmundjet kardiovaskulare është 1 në 2.6.
5 këshilla për një zemër të shëndetshme
Problemet me zemrën mund të jenë shkaktarë kryesorë të vdekjeve në femra dhe meshkuj, por ju nuk keni pse te trembeni duke e pranuar si një risk tuajin. Edhe pse nuk mund të keni fuqinë të ndryshoni disa faktorë rrezikues si historia e familjes, mosha dhe raca, ju keni gjithmonë në dorë të jetoni me stil. Shmangni dëmtimet në zemër, duke lënë duhanin, bëni ushtrime rregullisht dhe hani ushqime të shëndetshme. Ja 5 strategjitë nga mund të marrësh startin:
1. Mos pini duhan!
Nëse i bëni dalje duhanit, atëherë keni në dorë fuqinë e madhe të parandalimit nga infarktet. Cilësia e cigareve nuk të jep siguri. Cigaret me përqindje nikotine të ulët, janë njësoj rrezikues si për ata që nuk e pinë duhanin por e marrin në ambientin ku pihet nga të tjerët. Femrat që pinë duhan janë shumë herë më të rrezikuar se të tjerat.
Madje kanë një ulje të moshës së infarkteve, mbi 35 vjeç. Por nëse vendosni ta lini në moment jeni në kohë për të fituar qoftë edhe një vit jetë. Lajm i mirë: Nuk ka problem sa vite keni qenë duhanpirës i rregullt, ju keni kohë për të fituar.
2. Ushtrime, ushtrime, ushtrime
Tashmë e dini se ushtrimet gjimnastikore janë më e mira për ju. Por ende nuk bëni asnjë: Ushtrimet e rregullta fizike të kombinuara me një jetë të organizuar mirë, ndihmojnë në arritjen e një peshe trupore normale dhe reduktojnë mjaft goditjet në zemër. Ato ndihmojnë reduktimin e presionit të lartë të gjakut, kolesterolit të lartë dhe diabetit. Kardiologët rekomandojnë 30-60 minuta aktivitet fizik, një mesatare kjo e aktivitetit mendor ditor ose javor në punë. Dhe kujtohuni që këtu përfshihen edhe shëtitjet në lulishte, me qenin, hipja-zbritja e shkallëve, etj. Pra ju këshillohet të mos rrisni kohën e vrapit, por intensitetin fizik të jetës.
3. Ushqime të shëndetshme për zemrën
Përdorni një dietë të pasur me fruta, perime, drithëra, peshk që mbrojnë zemrën. Limitoni konsumimin e yndyrave, si mish, djathë, gjalpë, qumësht. Përdorni groshët dhe thjerrëzat në vend të mishit. Frutat dhe perimet janë parandaluesit kryesorë jo vetëm të sëmundjeve të zemrës por edhe të kancerit, shprehet kardiologët.
4. Ruani peshën normale
Si mund ta dini që keni një peshë të shëndetshme? Mbipesha është e rrezikshme. 25 kg më shumë se normalja është pesha që ia vlen të shqetësohesh pasi mund të jesh në risk. Por llogaritja e peshës nuk është ideale krahasuar me gjatësinë trupore, pasi shumë meshkuj kanë një peshë mbi normalen si pasojë e muskujve të zhvilluar, por nuk kemi të bëjmë me rrezik nga goditjet në zemër. Reduktimi i peshës trupore është përfitues sado i vogël qoftë pasi ul në 10 për qind rrezikun nga ataku.
5. Bëni rregullisht ekzaminime
Presioni i lartë i gjakut dhe kolesteroli i lartë dobësojnë sistemin kardiovaskular, duke përfshirë dhe zemrën. Ekzaminimet e rregullta ju tregojnë rrugën se ku të mjekoheni: Hipertensioni: Ekzaminimet nisin që në fëmijëri. Ju duhet ta bëni këtë të paktën çdo dy vjet. Presioni normal është më pak se 120/80. Niveli i kolesterolit në gjak. Ju këshillohet testim i rregullt jo vetëm të rriturve por edhe fëmijëve Sëmundjet e zemrës ka raste që shmangen. Ndiqni këshillat për një stil jete të kënaqshëm, mos e komplikoni jetën dhe asnjëherë mos u ndjeni të vetëhumbur.
Këshillat e mjekëve për një zemër të shëndetshme
1. Mos pini duhan
2. Merruni me ushtrime, dhe vetëm ushtrime
3. Konsumoni ushqime të shëndetshme për zemrën
4. Ruani peshën normale të trupit
5. Bëni rregullisht ekzaminime dhe vizita mjekësore
Moshat më të prekura nga problemet në zemër
Kohët e fundit është konstatuar se problemet me zemrën zënë vendin kryesor të sëmundjeve më të shfaqura në popullsinë shqiptare. Nuk është i pakët numri i pacientëve drejtuar qendrave spitalore për të diagnostikuar dhe kuruar problemet me zemrën. Nuk janë të pakta rastet e vdekjeve nga ataku kardiak tek pacientët që kanë probleme me zemrën. Më të prekur janë të moshuarit, por nuk janë të rralla rastet kur edhe persona në moshë të re paraqiten me probleme të tilla. Vetëm një në katër persona të rrezikuar me atak kardiak arrin të kurohet brenda një ore pasi është shqetësuar. Këta janë ata të sëmurë me sëmundje zemre të cilët janë prezantuar nga mjekët kardiologë në kursin e fundit të kongresit të mbajtur për trajtimin e sëmundjeve të zemrës.
Vera e dobishme për sëmundjet e zemrës
Pirja e dy gotave verë çdo ditë i bën mirë zemrës së grave. E ndihmon “të mbajë ritmin”, i lejon të përshtatet më shpejt nevojave të ditës. Aspekt shumë i rëndësishëm ky, që tregon shëndet shumë të mirë dhe ul rrezikun e infarktit. Në këto përfundime kanë arritur studimet mjekësore nga shkenca dhe mjekët kardiologë. Studimi, i udhëhequr nga Instituti “Karolinska” në Stokholm, ka pasur subjekte 120 gra nën 75 vjeç, të mbijetuara nga të një infarkt ose bllokim venash. Efektet ndryshojnë nëse vera zëvendësohet me birrë ose një pije superalkolike. Ndërsa vera, e cila ka një efekt relaksues mbi sistemin nervor, i mundëson zemrës “ta marrë me qetësi” punën e saj. Ka mundësi që këto efekte lidhen me faktin se kush pi verë bën një gjumë më të qetë, duke i lejuar zemrën të punojë më qetë.
Funksioni i zemrës dobësohet nga dieta
Tek femrat me anoreksi dhe ato që kanë humbur shumë shpejt peshën e trupit mund të lajmërohen probleme me zemrën, me rrezik për jetën, të cilat bëhen të dukshme gjatë ushtrimeve, pohojnë ekspertët. Dihet se tek femrat e sëmura nga anoreksia paraqiten probleme në zemër, tek të cilat paraqiten të rrahura të pakta në zemër dhe dëmtim të muskulit të zemrës. Përveç kësaj, shkencëtarët besojnë se vdekja e menjëhershme në rastin e të sëmurëve nga anoreksia kryesisht është rezultat i problemeve në zemër. Një grup shkencëtarësh kanë studiuar punën e zemrës tek 36 vajza me moshë prej 11 deri 18 vjet, të cilat trajtoheshin në spital për shkak mosushqyerjes, të shkaktuara nga anoreksia. Këto femra paraqiteshin me probleme serioze me funksionin dhe shpeshtësinë e rrahjeve të zemrës.
Niveli i lartë i proteinës C, vdekjeprurës
Shenja e parë e sëmundjes së zemrës në 50 për qind të rasteve vihet re vetëm kur zemra pushon së rrahuri. Megjithatë një analizë e thjeshtë e gjakut mund të shpëtojë jetën e shumë njerëzve të rrezikuar nga ataku kardiak. Analiza e gjakut quhet CRP ose Proteina Reaktive C, e cila mund të zbulojë mjaft herët problemet në venat e gjakut duke krijuar kështu mundësi për kurim të suksesshëm. Shkencëtarët besojnë se prekja e arterieve të zemrës është shkaktari nxitës i shumë goditjeve në zemër. Kjo është edhe arsyeja që një nivel i lartë i Proteinës reaktive C mund të jetë vdekjeprurës, edhe kur niveli i kolesterolit është i ulët. Një analizë paraprake e gjakut mund të jetë tregues i qartë i nivelit të kolesterolit dhe proteinës C
No comments:
Post a Comment